The NME6 Antibody (CAB14388) is a high-quality antibody developed for reliable detection and analysis of target proteins. This antibody, produced in rabbits, offers high reactivity with human samples and has been validated for use in Western blot applications. By specifically binding to the NME6 protein, researchers can detect and analyze its expression in various cell types, making it ideal for studies in oncology and other areas of biomedical research.NME6, also known as NM23-H6, is a member of the nucleoside diphosphate kinase (NDPK) family that has been implicated in tumor progression and metastasis.
This antibody is validated for use in WB, IHC-P, ELISA applications and has demonstrated reactivity against Human, Mouse, Rat samples.
Product Name:
NME6 Antibody
SKU:
CAB14388
Size:
20μL, 100μL
Reactivity:
Human, Mouse, Rat
Conjugate:
Unconjugated
Immunogen:
Recombinant protein (or fragment).This information is considered to be commercially sensitive.
Recommended starting concentration is 1 μg/mL. Please optimize the concentration based on your specific assay requirements.
Synonyms:
NDK 6, NM23-H6, IPIA-ALPHA, NME6
Positive Sample:
Mouse heart, Mouse liver, Rat liver
Cellular Localization:
Mitochondrion.
Calculated MW:
21kDa
Observed MW:
21kDa
Nucleoside diphosphate (NDP) kinases (EC 2.7.4.6), such as NME6, are ubiquitous enzymes that catalyze transfer of gamma-phosphates, via a phosphohistidine intermediate, between nucleoside and dioxynucleoside tri- and diphosphates (Mehus et al., 1999 [PubMed 10453732]).
Purification Method
Affinity purification
Gene ID
10201
RRID
AB_2761256
Buffer Information
Store at -20℃. Avoid freeze / thaw cycles. Buffer: PBS with 0.01% thimerosal,50% glycerol,pH7.3.
Western blot analysis of various lysates using NME6 Rabbit pAb (CAB14388) at 1:1000 dilution. Secondary antibody: HRP-conjugated Goat anti-Rabbit IgG (H+L) (CABS014) at 1:10000 dilution. Lysates/proteins: 25μg per lane. Blocking buffer: 3% nonfat dry milk in TBST. Detection: ECL Basic Kit (AbGn00020). Exposure time: 120s.
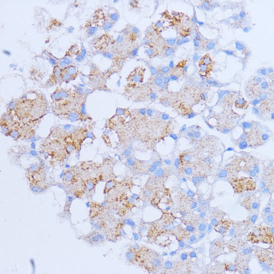
Immunohistochemistry analysis of paraffin-embedded Rat pancreas using NME6 Rabbit pAb (CAB14388) at dilution of 1:100 (40x lens). Microwave antigen retrieval performed with 0.01M PBS Buffer (pH 7.2) prior to IHC staining.
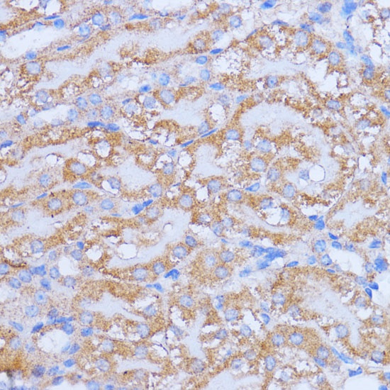
Immunohistochemistry analysis of paraffin-embedded Mouse kidney using NME6 Rabbit pAb (CAB14388) at dilution of 1:100 (40x lens). Microwave antigen retrieval performed with 0.01M PBS Buffer (pH 7.2) prior to IHC staining.