The Acetyl-Histone H2B-K15 Antibody (CAB15622) is a high-quality antibody developed for reliable detection and analysis of target proteins. This antibody, produced in rabbits, is highly specific to the acetylated form of histone H2B at lysine 15, allowing for precise detection and analysis in various experimental systems.Histone acetylation plays a key role in chromatin remodeling and gene activation, making it crucial for understanding gene regulation processes. The acetylation of histone H2B at lysine 15 has been implicated in transcriptional activation and is associated with specific biological functions. The CAB15622 antibody binds specifically to this modification site, enabling researchers to explore the functional significance of acetyl-histone H2B (K15) in various cellular processes.
This antibody is validated for use in WB, IHC-P, IF/ICC, ELISA applications and has demonstrated reactivity against Human, Mouse, Rat, Other (Wide Range Predicted) samples.
Product Name:
Acetyl-Histone H2B-K15 Antibody
SKU:
CAB15622
Size:
20μL, 100μL
Reactivity:
Human, Mouse, Rat, Other (Wide Range Predicted)
Conjugate:
Unconjugated
Immunogen:
Synthetic peptide. This information is considered to be commercially sensitive.
Sequence:
AQKK D
Tested Applications:
WBIHC-PIF/ICCELISA
Recommended Dilution:
WB
1:500 - 1:2000
IHC-P
1:50 - 1:200
IF/ICC
1:50 - 1:100
ELISA
Recommended starting concentration is 1 μg/mL. Please optimize the concentration based on your specific assay requirements.
Positive Sample:
HeLa treated with TSA, NIH/3T3 treated with TSA, C6 treated with TSA
Observed MW:
15kDa
Histones are basic nuclear proteins that are responsible for the nucleosome structure of the chromosomal fiber in eukaryotes. Nucleosomes consist of approximately 146 bp of DNA wrapped around a histone octamer composed of pairs of each of the four core histones (H2A, H2B, H3, and H4). The chromatin fiber is further compacted through the interaction of a linker histone, H1, with the DNA between the nucleosomes to form higher order chromatin structures. This gene is intronless and encodes a replication-dependent histone that is a member of the histone H2B family. Two transcripts that encode the same protein have been identified for this gene, which is found in the large histone gene cluster on chromosome 6p22-p21.3.
Purification Method
Affinity purification
Gene ID
3017 8349
RRID
AB_2763029
Buffer Information
Store at -20℃. Avoid freeze / thaw cycles. Buffer: PBS containing 50% glycerol, preserved with proclin300 or sodium azide, pH 7.3.
Western blot analysis of various lysates using Acetyl-Histone H2B-K15 Rabbit pAb (CAB15622) at 1:1000 dilution. HeLa cells were treated with TSA (1 uM) at 37℃ for 18 hours. NIH/3T3 cells were treated with TSA (1 uM) at 37℃ for 18 hours. C6 cells were treated with TSA (1 uM) at 37℃ for 18 hours. Secondary antibody: HRP-conjugated Goat anti-Rabbit IgG (H+L) (CABS014) at 1:10000 dilution. Lysates/proteins: 25μg per lane. Blocking buffer: 3% BSA. Detection: ECL Basic Kit (AbGn00020). Exposure time: 10s.
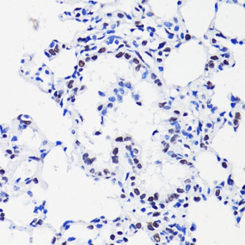
Immunohistochemistry analysis of paraffin-embedded Rat lung using Acetyl-Histone H2B-K15 Rabbit pAb (CAB15622) at dilution of 1:100 (40x lens). Microwave antigen retrieval performed with 0.01M PBS Buffer (pH 7.2) prior to IHC staining.
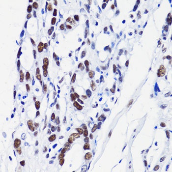
Immunohistochemistry analysis of paraffin-embedded Human gastric cancer using Acetyl-Histone H2B-K15 Rabbit pAb (CAB15622) at dilution of 1:100 (40x lens). Microwave antigen retrieval performed with 0.01M PBS Buffer (pH 7.2) prior to IHC staining.
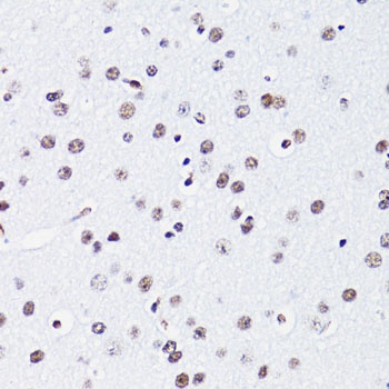
Immunohistochemistry analysis of paraffin-embedded Mouse brain using Acetyl-Histone H2B-K15 Rabbit pAb (CAB15622) at dilution of 1:100 (40x lens). Microwave antigen retrieval performed with 0.01M PBS Buffer (pH 7.2) prior to IHC staining.
Immunofluorescence analysis of HeLa cells using Acetyl-Histone H2B-K15 Rabbit pAb (CAB15622) at dilution of 1:100.HeLa cells were treated with TSA (1 uM) at 37℃ for 18 hours. Blue: DAPI for nuclear staining.
Immunofluorescence analysis of NIH/3T3 cells using Acetyl-Histone H2B-K15 Rabbit pAb (CAB15622) at dilution of 1:100.NIH/3T3 cells were treated with TSA (1 uM) at 37℃ for 18 hours. Blue: DAPI for nuclear staining.