The Acetyl-Histone H2B-K5 Antibody (CAB15621) is a high-quality antibody developed for reliable detection and analysis of target proteins. This antibody, produced in rabbits, has high specificity for human samples and is validated for use in Western blot applications. It specifically recognizes acetylation at lysine 5 on histone H2B, allowing for precise detection and analysis of this epigenetic mark in various cell types.Histone acetylation at lysine 5 on H2B is known to play a role in gene expression regulation, DNA repair, and chromatin structure. Dysregulation of this modification has been linked to various diseases, including cancer and neurological disorders.
This antibody is validated for use in WB, IHC-P, IF/ICC, ELISA applications and has demonstrated reactivity against Human, Mouse, Rat, Other (Wide Range Predicted) samples.
Product Name:
Acetyl-Histone H2B-K5 Antibody
SKU:
CAB15621
Size:
20μL, 100μL
Reactivity:
Human, Mouse, Rat, Other (Wide Range Predicted)
Conjugate:
Unconjugated
Immunogen:
Synthetic peptide. This information is considered to be commercially sensitive.
Sequence:
PAKS A
Tested Applications:
WBIHC-PIF/ICCELISA
Recommended Dilution:
WB
1:500 - 1:2000
IHC-P
1:50 - 1:200
IF/ICC
1:50 - 1:200
ELISA
Recommended starting concentration is 1 μg/mL. Please optimize the concentration based on your specific assay requirements.
Positive Sample:
NIH/3T3 treated with TSA, C6 treated with TSA
Observed MW:
16kDa
Histones are basic nuclear proteins that are responsible for the nucleosome structure of the chromosomal fiber in eukaryotes. Nucleosomes consist of approximately 146 bp of DNA wrapped around a histone octamer composed of pairs of each of the four core histones (H2A, H2B, H3, and H4). The chromatin fiber is further compacted through the interaction of a linker histone, H1, with the DNA between the nucleosomes to form higher order chromatin structures. This gene is intronless and encodes a replication-dependent histone that is a member of the histone H2B family. Two transcripts that encode the same protein have been identified for this gene, which is found in the large histone gene cluster on chromosome 6p22-p21.3.
Purification Method
Affinity purification
Gene ID
3017 8349
RRID
AB_2763028
Buffer Information
Store at -20℃. Avoid freeze / thaw cycles. Buffer: PBS containing 50% glycerol, preserved with proclin300 or sodium azide, pH 7.3.
Western blot analysis of various lysates using Acetyl-Histone H2B-K5 Rabbit pAb (CAB15621) at 1:1000 dilution. NIH/3T3 cells were treated with TSA (1 uM) at 37℃ for 18 hours. C6 cells were treated with TSA (1 uM) at 37℃ for 18 hours Secondary antibody: HRP-conjugated Goat anti-Rabbit IgG (H+L) (CABS014) at 1:10000 dilution. Lysates/proteins: 25μg per lane. Blocking buffer: 3% BSA. Detection: ECL Basic Kit (AbGn00020). Exposure time: 60s.
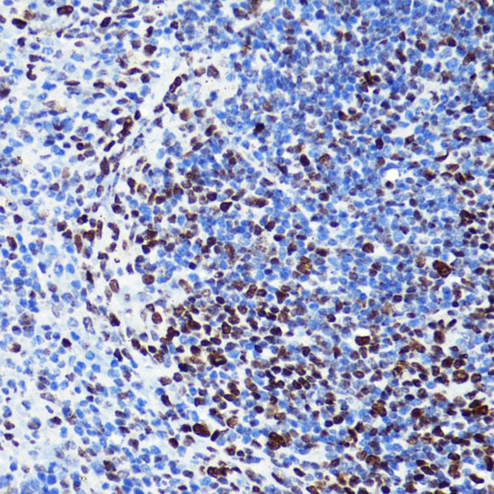
Immunohistochemistry analysis of paraffin-embedded Rat spleen using Acetyl-Histone H2B-K5 Rabbit pAb (CAB15621) at dilution of 1:100 (40x lens). Microwave antigen retrieval performed with 0.01M PBS Buffer (pH 7.2) prior to IHC staining.
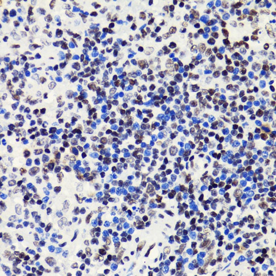
Immunohistochemistry analysis of paraffin-embedded Mouse spleen using Acetyl-Histone H2B-K5 Rabbit pAb (CAB15621) at dilution of 1:100 (40x lens). Microwave antigen retrieval performed with 0.01M PBS Buffer (pH 7.2) prior to IHC staining.
Immunofluorescence analysis of C6 cells using Acetyl-Histone H2B-K5 Rabbit pAb (CAB15621) at dilution of 1:100.C6 cells were treated with TSA (1 uM) at 37℃ for 18 hours. Blue: DAPI for nuclear staining.
Immunofluorescence analysis of NIH/3T3 cells using Acetyl-Histone H2B-K5 Rabbit pAb (CAB15621) at dilution of 1:100.NIH/3T3 cells were treated with TSA (1 uM) at 37℃ for 18 hours. Blue: DAPI for nuclear staining.