The Acetyl-Histone H3-K18 Antibody (CAB7257) is a high-quality antibody developed for reliable detection and analysis of target proteins. This antibody, raised in rabbits, specifically targets acetylation at lysine 18 of the histone H3 protein, a modification associated with active gene transcription.Validated for Western blot applications and highly reactive with human samples, this antibody enables accurate detection and analysis of acetylated histone H3 (K18) in a variety of cell types. Its specificity for this modification makes it a valuable tool for investigating the role of histone acetylation in gene expression, chromatin remodeling, and various cellular processes.
This antibody is validated for use in WB, IHC-P, IF/ICC, ChIP, ELISA, DB applications and has demonstrated reactivity against Human, Mouse, Rat, Other (Wide Range Predicted) samples.
Product Name:
Acetyl-Histone H3-K18 Antibody
SKU:
CAB7257
Size:
20μL, 100μL
Reactivity:
Human, Mouse, Rat, Other (Wide Range Predicted)
Conjugate:
Unconjugated
Immunogen:
Synthetic peptide. This information is considered to be commercially sensitive.
Sequence:
PRKQ L
Tested Applications:
WBIHC-PIF/ICCChIPELISADB
Recommended Dilution:
WB
1:500 - 1:1000
DB
1:500 - 1:1000
IHC-P
1:50 - 1:200
IF/ICC
1:50 - 1:200
ELISA
Recommended starting concentration is 1 μg/mL. Please optimize the concentration based on your specific assay requirements.
Histones are basic nuclear proteins that are responsible for the nucleosome structure of the chromosomal fiber in eukaryotes. Two molecules of each of the four core histones (H2A, H2B, H3, and H4) form an octamer, around which approximately 146 bp of DNA is wrapped in repeating units, called nucleosomes. The linker histone, H1, interacts with linker DNA between nucleosomes and functions in the compaction of chromatin into higher order structures. This gene is intronless and encodes a replication-dependent histone that is a member of the histone H3 family. Transcripts from this gene lack polyA tails but instead contain a palindromic termination element. This gene is found in the small histone gene cluster on chromosome 6p22-p21.3.
Purification Method
Affinity purification
Gene ID
8290 8350
RRID
AB_2767801
Buffer Information
Store at -20℃. Avoid freeze / thaw cycles. Buffer: PBS containing 50% glycerol, preserved with proclin300 or sodium azide, pH 7.3.
Western blot analysis of lysates from HeLa cells using Acetyl-Histone H3-K18 Rabbit pAb (CAB7257) at 1:1000 dilution. HeLa cells were treated with TSA (1 uM) at 37℃ for 18 hours. Secondary antibody: HRP-conjugated Goat anti-Rabbit IgG (H+L) (CABS014) at 1:10000 dilution. Lysates/proteins: 25 μg per lane. Blocking buffer: 3% nonfat dry milk in TBST. Detection: ECL Basic Kit (AbGn00020). Exposure time: 0.5s.
Dot-blot analysis of all sorts of methylation peptides using Acetyl-Histone H3-K18 antibody (CAB7257) at 1:1000 dilution.
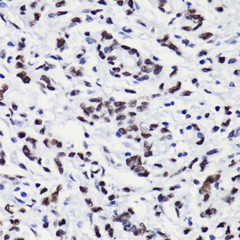
Immunohistochemistry analysis of paraffin-embedded Human gastric cancer using Acetyl-Histone H3-K18 Rabbit pAb (CAB7257) at dilution of 1:100 (40x lens). Microwave antigen retrieval performed with 0.01M PBS Buffer (pH 7.2) prior to IHC staining.
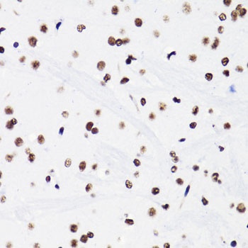
Immunohistochemistry analysis of paraffin-embedded Mouse brain using Acetyl-Histone H3-K18 Rabbit pAb (CAB7257) at dilution of 1:100 (40x lens). Microwave antigen retrieval performed with 0.01M PBS Buffer (pH 7.2) prior to IHC staining.
Immunofluorescence analysis of HeLa cells using Acetyl-Histone H3-K18 Rabbit pAb (CAB7257) at dilution of 1:100.HeLa cells were treated with TSA (1 uM) at 37℃ for 18 hours. Blue: DAPI for nuclear staining.
Immunofluorescence analysis of NIH/3T3 cells using Acetyl-Histone H3-K18 Rabbit pAb (CAB7257) at dilution of 1:100.NIH/3T3 cells were treated with TSA (1 uM) at 37℃ for 18 hours. Blue: DAPI for nuclear staining.
Chromatin immunoprecipitation analysis of extracts of HCT116 cells, using Acetyl-Histone H3-K18 Rabbit pAb yantibody (CAB7257) and rabbit IgG.The amount of immunoprecipitated DNA was checked by quantitative PCR. Histogram was constructed by the ratios of the immunoprecipitated DNA to the input.