The 14-3-3 alpha/beta Monoclonal Antibody (CAB9151) is a high-quality antibody developed for reliable detection and analysis of target proteins. This antibody, raised in rabbits, is highly specific for detecting both 14-3-3 alpha and beta isoforms in human samples, making it an essential tool for Western blot and immunohistochemistry applications.The 14-3-3 proteins are known to interact with a wide range of target proteins, influencing their localization, stability, and activity.
This antibody is validated for use in WB, ELISA applications and has demonstrated reactivity against Human, Mouse, Rat samples.
Product Name:
14-3-3 alpha/beta Monoclonal Antibody
SKU:
CAB9151
Size:
20μL, 100μL
Reactivity:
Human, Mouse, Rat
Clone Number:
ARC1453
Conjugate:
Unconjugated
Immunogen:
Synthetic peptide. This information is considered to be commercially sensitive.
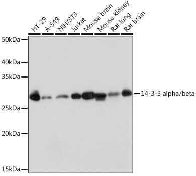
HT-29, A549, NIH/3T3, Jurkat, Mouse brain, Mouse kidney, Rat lung, Rat brain
Cellular Localization:
Cytoplasm, Membrane, Vacuole.
Calculated MW:
28kDa
Observed MW:
28kDa
This gene encodes a protein belonging to the 14-3-3 family of proteins, members of which mediate signal transduction by binding to phosphoserine-containing proteins. This highly conserved protein family is found in both plants and mammals. The encoded protein has been shown to interact with RAF1 and CDC25 phosphatases, suggesting that it may play a role in linking mitogenic signaling and the cell cycle machinery. Two transcript variants, which encode the same protein, have been identified for this gene.
Purification Method
Affinity purification
Gene ID
7529
RRID
AB_2863673
Buffer Information
Store at -20℃. Avoid freeze / thaw cycles. Buffer: PBS containing 50% glycerol and 0.05% BSA, preserved with proclin300 or sodium azide, pH 7.3.
Western blot analysis of various lysates using 14-3-3 alpha/beta Rabbit mAb (CAB9151) at 1:1000 dilution. Secondary antibody: HRP-conjugated Goat anti-Rabbit IgG (H+L) (CABS014) at 1:10000 dilution. Lysates/proteins: 25μg per lane. Blocking buffer: 3% nonfat dry milk in TBST. Detection: ECL Basic Kit (AbGn00020). Exposure time: 1s.