The ABHD1 Polyclonal Antibody (PAC015235) is a valuable tool for researchers studying ABHD1, an enzyme involved in lipid metabolism and signaling pathways. This antibody, produced in rabbits, exhibits high reactivity with human samples and is specifically validated for use in Western blot applications. By binding to the ABHD1 protein, this antibody enables precise detection and analysis in various cell types, making it ideal for investigations in the fields of lipid biology and signal transduction.ABHD1, also known as alpha/beta-hydrolase domain-containing protein 1, plays a crucial role in lipid homeostasis and cellular signaling processes. Its function in lipid metabolism and signal transduction pathways makes it a promising target for research into metabolic disorders, neurodegenerative diseases, and cancer.
Understanding the role of ABHD1 is essential for developing therapies that target lipid metabolism and signaling pathways in these pathological conditions.Overall, the ABHD1 Polyclonal Antibody (PAC015235) is a reliable tool for researchers interested in exploring the functions of ABHD1 in various physiological and pathological contexts. Its high specificity and sensitivity make it a valuable asset for studies aiming to unravel the biological roles of ABHD1 and its potential implications in disease mechanisms.
Antibody Name:
ABHD1 Antibody (PACO15235)
Antibody SKU:
PACO15235
Size:
50ul
Host Species:
Rabbit
Tested Applications:
ELISA, IHC
Recommended Dilutions:
ELISA:1:1000-1:2000, IHC:1:15-1:50
Species Reactivity:
Human
Immunogen:
Fusion protein of human ABHD1
Form:
Liquid
Storage Buffer:
-20°C, pH7.4 PBS, 0.05% NaN3, 40% Glycerol
Purification Method:
Antigen affinity purification
Clonality:
Polyclonal
Isotype:
IgG
Conjugate:
Non-conjugated
The image on the left is immunohistochemistry of paraffin-embedded Human gastric cancer tissue using PACO15235(ABHD1 Antibody) at dilution 1/15, on the right is treated with fusion protein. (Original magnification: x200).
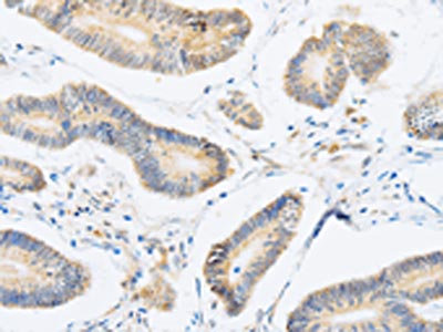
The image on the left is immunohistochemistry of paraffin-embedded Human colon cancer tissue using PACO15235(ABHD1 Antibody) at dilution 1/15, on the right is treated with fusion protein. (Original magnification: x200).
Background:
This gene is a member of the AB hydrolase superfamily and encodes a protein with an alpha/β hydrolase fold. This domain is common to a number of hydrolytic enzymes of widely differing phylogenetic origins and catalytic functions.
Synonyms:
abhydrolase domain containing 1
UniProt Protein Function:
ABHD1: a member of the AB hydrolase superfamily and encodes a protein with an alpha/beta hydrolase fold. This domain is common to a number of hydrolytic enzymes of widely differing phylogenetic origins and catalytic functions. [provided by RefSeq, Jul 2008]Protein type: EC 3.1.1.-; Membrane protein, integral; HydrolaseChromosomal Location of Human Ortholog: 2p23.3Molecular Function: protein binding
UniProt Protein Details:
NCBI Summary:
This gene is a member of the AB hydrolase superfamily and encodes a protein with an alpha/beta hydrolase fold. This domain is common to a number of hydrolytic enzymes of widely differing phylogenetic origins and catalytic functions. [provided by RefSeq, Jul 2008]