ACBD4 Antibody is a premium polyclonal that offers outstanding performance and reliability for demanding research applications. Rigorously validated for ELISA, WB, IHC, this antibody ensures consistent, reproducible results across multiple experimental platforms. Demonstrates excellent reactivity with Human, Mouse samples, providing researchers with confidence in cross-species compatibility. Conveniently packaged in 50ug format to meet your experimental needs. For optimal performance, store at -20°C or -80°C and maintains stability for 12 months. Backed by rigorous quality control testing to ensure superior performance in your critical research applications.
Product Name:
ACBD4 Antibody
SKU:
PACO37966
Size:
50μg
Isotype:
IgG
Host Species:
Rabbit
Reactivity:
Human, Mouse
Immunogen:
Recombinant Human Acyl-CoA-binding domain-containing protein 4 protein (1-305AA)
Immunogen Species:
Homo sapiens (Human)
Uniprot No:
Q8NC06
Form:
Liquid
Tested Applications:
ELISAWBIHC
Recommended Dilution:
Application
Recommended Dilution
WB
1:500-1:2000
IHC
1:20-1:200
Synonyms:
ACBD 4 antibody, ACBD4 antibody, ACBD4_HUMAN antibody, Acyl CoA binding domain containing protein 4 antibody, Acyl coenzyme A binding domain containing 4 antibody, Acyl-CoA-binding domain-containing protein 4 antibody
Western blot All lanes: ACBD4 antibody at 2µg/ml Lane 1: Mouse kidney tissue Lane 2: Mouse liver tissue Secondary Goat polyclonal to rabbit IgG at 1/10000 dilution Predicted band size: 31, 35, 38 kDa Observed band size: 31 kDa
Immunohistochemistry of paraffin-embedded human kidney tissue using PACO37966 at dilution of 1:100
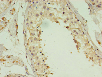
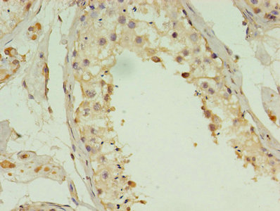
Immunohistochemistry of paraffin-embedded human testis tissue using PACO37966 at dilution of 1:100