The Muscarinic AChR M2 (ACM2) Monoclonal Antibody (CAB5154) is a high-quality antibody developed for reliable detection and analysis of target proteins. This antibody, produced in rabbits, has high specificity and sensitivity for detecting ACM2 in human samples, making it ideal for use in research applications such as immunohistochemistry and flow cytometry.ACM2, also known as adrenomedullin receptor, is a key player in regulating vascular tone, cell growth, and inflammation. Dysregulation of ACM2 signaling has been linked to conditions such as cardiovascular disease, cancer, and inflammation-related disorders.
This antibody is validated for use in WB, IHC-P, ELISA applications and has demonstrated reactivity against Human, Mouse, Rat samples.
Product Name:
Muscarinic AChR M2 (ACM2) Monoclonal Antibody
SKU:
CAB5154
Size:
20μL, 100μL
Reactivity:
Human, Mouse, Rat
Clone Number:
ARC1225
Conjugate:
Unconjugated
Immunogen:
Synthetic peptide. This information is considered to be commercially sensitive.
The muscarinic cholinergic receptors belong to a larger family of G protein-coupled receptors. The functional diversity of these receptors is defined by the binding of acetylcholine to these receptors and includes cellular responses such as adenylate cyclase inhibition, phosphoinositide degeneration, and potassium channel mediation. Muscarinic receptors influence many effects of acetylcholine in the central and peripheral nervous system. The muscarinic cholinergic receptor 2 is involved in mediation of bradycardia and a decrease in cardiac contractility. Multiple alternatively spliced transcript variants have been described for this gene.
Purification Method
Affinity purification
Gene ID
1129
RRID
AB_2863469
Buffer Information
Store at -20℃. Avoid freeze / thaw cycles. Buffer: PBS containing 50% glycerol and 0.05% BSA, preserved with proclin300 or sodium azide, pH 7.3.
Western blot analysis of various lysates using Muscarinic AChR M2 (Muscarinic AChR M2 (ACM2)) Rabbit mAb (CAB5154) at 1:1000 dilution. Secondary antibody: HRP-conjugated Goat anti-Rabbit IgG (H+L) (CABS014) at 1:10000 dilution. Lysates/proteins: 25μg per lane. Blocking buffer: 3% nonfat dry milk in TBST. Detection: ECL Basic Kit (AbGn00020). Exposure time: 10s.
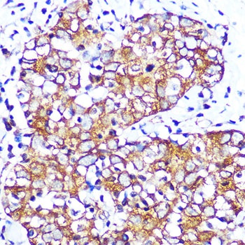
Immunohistochemistry analysis of paraffin-embedded Human esophageal cancer using Muscarinic AChR M2 (Muscarinic AChR M2 (ACM2)) Rabbit mAb (CAB5154) at dilution of 1:100 (40x lens). Microwave antigen retrieval performed with 0.01M PBS Buffer (pH 7.2) prior to IHC staining.
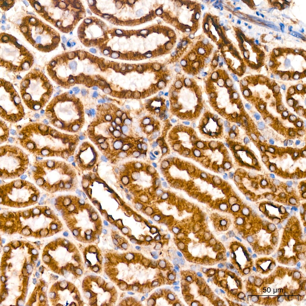
Immunohistochemistry analysis of paraffin-embedded Mouse kidney tissue using Muscarinic AChR M2 (ACM2) Rabbit mAb (CAB5154) at a dilution of 1:200 (40x lens). High pressure antigen retrieval performed with 0.01M Citrate buffer (pH 6.0) prior to IHC staining.
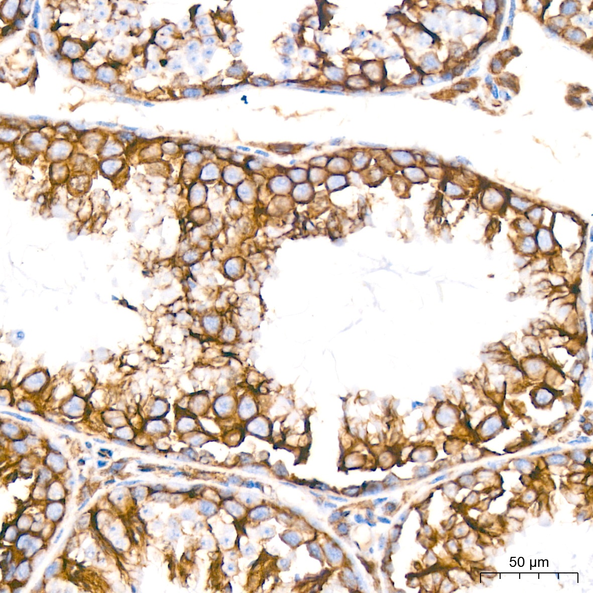
Immunohistochemistry analysis of paraffin-embedded Mouse testis tissue using Muscarinic AChR M2 (ACM2) Rabbit mAb (CAB5154) at a dilution of 1:200 (40x lens). High pressure antigen retrieval performed with 0.01M Citrate buffer (pH 6.0) prior to IHC staining.