ACTB/POTEKP/ACTG1 Monoclonal Antibody (MACO0470) is a premium monoclonal that offers outstanding performance and reliability for demanding research applications. Rigorously validated for ELISA, IHC, this antibody ensures consistent, reproducible results across multiple experimental platforms. Demonstrates excellent reactivity with Human samples, providing researchers with confidence in cross-species compatibility. Conveniently packaged in 50ul format to meet your experimental needs. For optimal performance, store at -20°C or -80°C and maintains stability for 12 months. Backed by rigorous quality control testing to ensure superior performance in your critical research applications.
Product Name:
ACTB/POTEKP/ACTG1 Monoclonal Antibody
SKU:
MACO0470
Size:
50μl
Isotype:
IgG2b, Kappa
Host Species:
Mouse
Reactivity:
Human
Immunogen:
Synthesized peptide derived from human Actin pan
Immunogen Species:
Homo sapiens (Human)
Uniprot No:
P60709 Q9BYX7 P63261
Form:
Liquid
Tested Applications:
ELISAIHC
Recommended Dilution:
Application
Recommended Dilution
IHC
1:20-1:200
Storage Buffer:
Liquid in PBS containing 50% glycerol, 0.5% BSA and 0.02% sodium azide.
Purification:
The antibody was affinity-purified from mouse ascites by affinity-chromatography using specific immunogen.
Clonality:
Monoclonal
Conjugate:
Non-conjugated
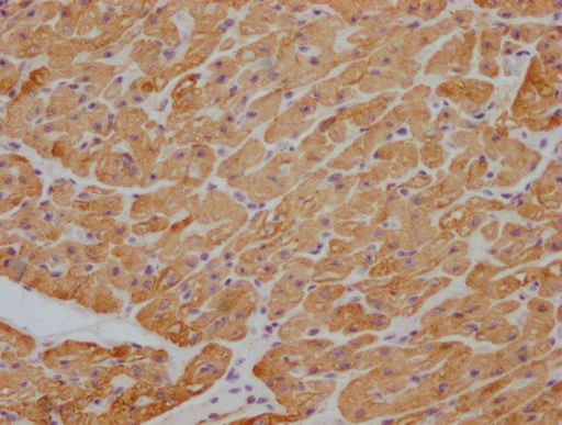
IHC image of MACO0470 diluted at 1:100 and staining in paraffin-embedded human heart tissue performed on a Leica BondTM system. After dewaxing and hydration, antigen retrieval was mediated by high pressure in a citrate buffer (pH 6.0). Section was blocked with 10% normal goat serum 30min at RT. Then primary antibody (1% BSA) was incubated at 4°C overnight. The primary is detected by a Goat anti-mouse IgG polymer labeled by HRP and visualized using 0.05% DAB.
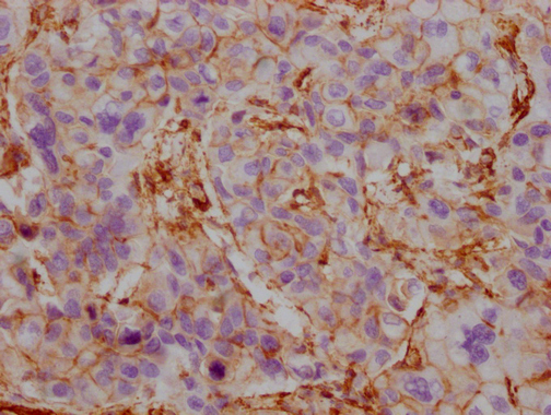
IHC image of MACO0470 diluted at 1:100 and staining in paraffin-embedded human liver cancer performed on a Leica BondTM system. After dewaxing and hydration, antigen retrieval was mediated by high pressure in a citrate buffer (pH 6.0). Section was blocked with 10% normal goat serum 30min at RT. Then primary antibody (1% BSA) was incubated at 4°C overnight. The primary is detected by a Goat anti-mouse IgG polymer labeled by HRP and visualized using 0.05% DAB.