The ACVR2A Antibody (CAB1981) is a high-quality antibody developed for reliable detection and analysis of target proteins. This antibody, produced in rabbits, exhibits high reactivity with human samples and has been validated for use in Western blot applications. By specifically binding to the ACVR2A protein, this antibody enables accurate detection and analysis in various cell types, making it ideal for studies in developmental biology, cell signaling, and cancer research.ACVR2A plays a crucial role in various cellular processes, including cell growth, differentiation, and apoptosis, making it a key target for investigating diseases such as cancer, cardiovascular disorders, and skeletal abnormalities.
This antibody is validated for use in WB, IHC-P, IF/ICC, ELISA applications and has demonstrated reactivity against Human, Mouse, Rat samples.
Product Name:
ACVR2A Antibody
SKU:
CAB1981
Size:
20μL, 100μL
Reactivity:
Human, Mouse, Rat
Conjugate:
Unconjugated
Immunogen:
Recombinant protein (or fragment).This information is considered to be commercially sensitive.
Recommended starting concentration is 1 μg/mL. Please optimize the concentration based on your specific assay requirements.
Synonyms:
ACVR2, ACTRII, ACVR2A
Positive Sample:
A-431
Cellular Localization:
Membrane, Single-Pass Type I Membrane Protein.
Calculated MW:
58kDa
Observed MW:
58kDa
This gene encodes a receptor that mediates the functions of activins, which are members of the transforming growth factor-beta (TGF-beta) superfamily involved in diverse biological processes. The encoded protein is a transmembrane serine-threonine kinase receptor which mediates signaling by forming heterodimeric complexes with various combinations of type I and type II receptors and ligands in a cell-specific manner. The encoded type II receptor is primarily involved in ligand-binding and includes an extracellular ligand-binding domain, a transmembrane domain and a cytoplasmic serine-threonine kinase domain. This gene may be associated with susceptibility to preeclampsia, a pregnancy-related disease which can result in maternal and fetal morbidity and mortality. Alternative splicing results in multiple transcript variants of this gene.
Purification Method
Affinity purification
Gene ID
92
RRID
AB_2764007
Buffer Information
Store at -20℃. Avoid freeze / thaw cycles. Buffer: PBS containing 50% glycerol, preserved with proclin300 or sodium azide, pH 7.3.
Western blot analysis of lysates from A-431 cells, using ACVR2A Rabbit pAb (CAB1981) at 1:500 dilution. Secondary antibody: HRP-conjugated Goat anti-Rabbit IgG (H+L) (CABS014) at 1:10000 dilution. Lysates/proteins: 25μg per lane. Blocking buffer: 3% nonfat dry milk in TBST. Detection: ECL Enhanced Kit (AbGn00021). Exposure time: 180s.
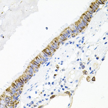
Immunohistochemistry analysis of paraffin-embedded Human lung using ACVR2A Rabbit pAb (CAB1981) at dilution of 1:100 (40x lens). Microwave antigen retrieval performed with 0.01M PBS Buffer (pH 7.2) prior to IHC staining.
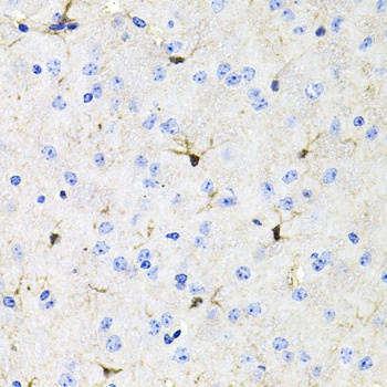
Immunohistochemistry analysis of paraffin-embedded Mouse brain using ACVR2A Rabbit pAb (CAB1981) at dilution of 1:100 (40x lens). Microwave antigen retrieval performed with 0.01M PBS Buffer (pH 7.2) prior to IHC staining.
Immunofluorescence analysis of NIH/3T3 cells using ACVR2A Rabbit pAb (CAB1981) at dilution of 1:50 (40x lens). Secondary antibody: Cy3-conjugated Goat anti-Rabbit IgG (H+L) (CABS007) at 1:500 dilution. Blue: DAPI for nuclear staining.