The AEBP2 Antibody (CAB7400) is a high-quality antibody developed for reliable detection and analysis of target proteins. This antibody, generated in rabbits, exhibits high specificity and sensitivity for detecting AEBP2 in human samples, making it ideal for use in immunohistochemistry and immunofluorescence experiments.AEBP2 is involved in various cellular processes, including adipogenesis and cancer progression, making it a promising target for therapeutic interventions. By targeting AEBP2, researchers can gain valuable insights into the molecular mechanisms underlying these processes and potentially develop novel treatments for related diseases.
This antibody is validated for use in WB, IHC-P, ELISA applications and has demonstrated reactivity against Human, Mouse, Rat samples.
Product Name:
AEBP2 Antibody
SKU:
CAB7400
Size:
20μL, 100μL
Reactivity:
Human, Mouse, Rat
Conjugate:
Unconjugated
Immunogen:
Recombinant protein (or fragment).This information is considered to be commercially sensitive.
Recommended starting concentration is 1 μg/mL. Please optimize the concentration based on your specific assay requirements.
Synonyms:
AEBP2
Positive Sample:
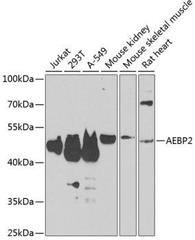
Jurkat, 293T, A-549, Mouse kidney, Mouse skeletal muscle, Rat heart
Cellular Localization:
Nucleus.
Calculated MW:
54kDa
Observed MW:
54kDa
Predicted to enable transcription coregulator activity. Predicted to be involved in regulation of transcription by RNA polymerase II. Predicted to act upstream of or within regulation of transcription, DNA-templated. Located in nucleoplasm. Part of ESC/E(Z) complex.
Purification Method
Affinity purification
Gene ID
121536
RRID
AB_2767931
Buffer Information
Store at -20℃. Avoid freeze / thaw cycles. Buffer: PBS containing 50% glycerol, preserved with proclin300 or sodium azide, pH 7.3.
Western blot analysis of various lysates using AEBP2 Rabbit pAb (CAB7400) at 1:1000 dilution._Secondary antibody: HRP-conjugated Goat anti-Rabbit IgG (H+L) (CABS014) at 1:10000 dilution._Lysates/proteins: 25μg per lane._Blocking buffer: 3% nonfat dry milk in TBST._Detection: ECL Enhanced Kit (AbGn00021)._Exposure time: 90s.
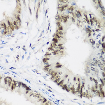
Immunohistochemistry analysis of paraffin-embedded Human colon carcinoma using AEBP2 Rabbit pAb (CAB7400) at dilution of 1:200 (40x lens). Microwave antigen retrieval performed with 0.01M PBS Buffer (pH 7.2) prior to IHC staining.