AHSA2P Antibody is a premium polyclonal that offers outstanding performance and reliability for demanding research applications. Rigorously validated for ELISA, WB, IHC, this antibody ensures consistent, reproducible results across multiple experimental platforms. Demonstrates excellent reactivity with Human, Mouse, Rat samples, providing researchers with confidence in cross-species compatibility. Conveniently packaged in 50ug format to meet your experimental needs. For optimal performance, store at -20°C or -80°C and maintains stability for 12 months. Backed by rigorous quality control testing to ensure superior performance in your critical research applications.
Product Name:
AHSA2P Antibody
SKU:
PACO36726
Size:
50μg
Isotype:
IgG
Host Species:
Rabbit
Reactivity:
Human, Mouse, Rat
Immunogen:
Recombinant Human Putative activator of 90 kDa heat shock protein ATPase homolog 2 protein (1-137AA)
Immunogen Species:
Homo sapiens (Human)
Uniprot No:
Q719I0
Form:
Liquid
Tested Applications:
ELISAWBIHC
Recommended Dilution:
Application
Recommended Dilution
WB
1:500-1:5000
IHC
1:20-1:200
Synonyms:
Activator of 90 kDa heat shock protein ATPase homolog 2 antibody, AHA1, activator of heat shock 90kDa protein ATPase homolog 2 (yeast) antibody, Ahsa2 antibody, AHSA2_HUMAN antibody, Hch1 antibody
Western Blot Positive WB detected in: Rat liver tissue, Rat kidney tissue, Mouse brain tissue, Mouse heart tissue, Mouse skeletal muscle tissue All lanes: AHSA2P antibody at 3µg/ml Secondary Goat polyclonal to rabbit IgG at 1/50000 dilution Predicted band size: 34, 17, 16 kDa Observed band size: 34 kDa
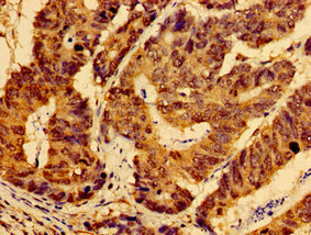
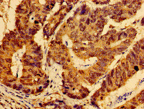
Immunohistochemistry of paraffin-embedded human gastric cancer using PACO36726 at dilution of 1:100