The AIRE Antibody (CAB1767) is a high-quality antibody developed for reliable detection and analysis of target proteins. This antibody, generated in rabbits, exhibits high reactivity with human samples, making it ideal for use in Western blot applications. By specifically binding to the AIRE protein, this antibody enables accurate detection and analysis in various cell types, providing valuable insights into the mechanisms underlying autoimmune diseases and immune system function.AIRE is a key player in maintaining self-tolerance by regulating the expression of tissue-specific antigens in the thymus, thereby preventing the development of autoimmune disorders.
This antibody is validated for use in WB, IF/ICC, ELISA applications and has demonstrated reactivity against Human, Mouse, Rat samples.
Product Name:
AIRE Antibody
SKU:
CAB1767
Size:
20μL, 100μL
Reactivity:
Human, Mouse, Rat
Conjugate:
Unconjugated
Immunogen:
Synthetic peptide. This information is considered to be commercially sensitive.
This gene encodes a transcriptional regulator that forms nuclear bodies and interacts with the transcriptional coactivator CREB binding protein. The encoded protein plays an important role in immunity by regulating the expression of autoantigens and negative selection of autoreactive T-cells in the thymus. Mutations in this gene cause the rare autosomal-recessive systemic autoimmune disease termed autoimmune polyendocrinopathy with candidiasis and ectodermal dystrophy (APECED).
Purification Method
Affinity purification
Gene ID
326
RRID
AB_2763810
Buffer Information
Store at -20℃. Avoid freeze / thaw cycles. Buffer: PBS containing 50% glycerol, preserved with proclin300 or sodium azide, pH 7.3.
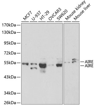
Western blot analysis of various lysates using AIRE Rabbit pAb (CAB1767) at 1:1000 dilution. Secondary antibody: HRP-conjugated Goat anti-Rabbit IgG (H+L) (CABS014) at 1:10000 dilution. Lysates/proteins: 25μg per lane. Blocking buffer: 3% nonfat dry milk in TBST.
Immunofluorescence analysis of NIH/3T3 cells using AIRE Rabbit pAb (CAB1767) at dilution of 1:100. Secondary antibody: Cy3-conjugated Goat anti-Rabbit IgG (H+L) (CABS007) at 1:500 dilution. Blue: DAPI for nuclear staining.
Immunofluorescence analysis of C6 cells using AIRE Rabbit pAb (CAB1767) at dilution of 1:100. Secondary antibody: Cy3-conjugated Goat anti-Rabbit IgG (H+L) (CABS007) at 1:500 dilution. Blue: DAPI for nuclear staining.