null
100% Quality Guarantee
PhD-Level Technical Support
Key Features

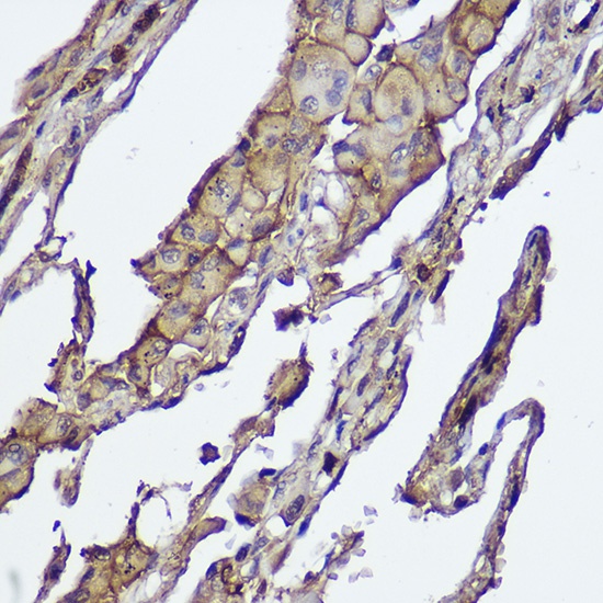
AKT1/2 Monoclonal Antibody (CAB2696)

SKU CAB2696
Product Type Antibody
Antibody Type Monoclonal Antibody
Reactivity Human, Mouse, Rat
Host Species Rabbit
Synonyms AKT, PKB, RAC, PRKBA, PKB-ALPHA, RAC-ALPHA, PKBB, PRKBB, HIHGHH, PKBBETA, RAC-BETA, AKT1/2
€131 - €457
Global Shipping: 80+ Countries
White Glove Service: Available upon request
Batch Consistency: Contact Sales
Distributors: 60+ Countries

Description

system_update_altDatasheetsystem_update_altMSDS

AKT1/2 Monoclonal Antibody (CAB2696)

The AKT1/2 Monoclonal Antibody (CAB2696) is a high-quality antibody developed for reliable detection and analysis of target proteins. This antibody, derived from mouse monoclonal antibodies, is highly specific to AKT1 and AKT2 isoforms, allowing for precise detection and analysis in western blot and immunohistochemistry applications. AKT1 and AKT2 are serine/threonine protein kinases that play crucial roles in various cellular processes, including cell proliferation, differentiation, and glucose metabolism.

This antibody is validated for use in WB, IHC-P, ELISA applications and has demonstrated reactivity against Human, Mouse, Rat samples.

0 Reviews

0
Based on 0 reviews

No reviews yet. Be the first to share your experience!

View AllClose