The ALKBH8 Antibody (CAB7142) is a high-quality antibody developed for reliable detection and analysis of target proteins. This antibody, produced in rabbits, has high specificity and sensitivity for detecting ALKBH8 in human samples, making it ideal for use in Western blot applications.ALKBH8, a member of the AlkB family of proteins, plays a crucial role in cellular processes such as DNA repair, RNA metabolism, and gene expression regulation.
This antibody is validated for use in WB, IHC-P, ELISA applications and has demonstrated reactivity against Human, Mouse, Rat samples.
Product Name:
ALKBH8 Antibody
SKU:
CAB7142
Size:
20μL, 100μL
Reactivity:
Human, Mouse, Rat
Conjugate:
Unconjugated
Immunogen:
Recombinant protein (or fragment).This information is considered to be commercially sensitive.
Recommended starting concentration is 1 μg/mL. Please optimize the concentration based on your specific assay requirements.
Synonyms:
ABH8, TRM9, MRT71, TRMT9, TRMT9A, ALKBH8
Positive Sample:
A549, Rat brain
Cellular Localization:
Cytoplasm, Nucleus.
Calculated MW:
75kDa
Observed MW:
75kDa
Enables tRNA (uracil) methyltransferase activity; tRNA binding activity; and zinc ion binding activity. Involved in cellular response to DNA damage stimulus; tRNA methylation; and tRNA wobble uridine modification. Located in cytosol and nuclear body. Implicated in autosomal recessive non-syndromic intellectual disability.
Purification Method
Affinity purification
Gene ID
91801
RRID
AB_2767697
Buffer Information
Store at -20℃. Avoid freeze / thaw cycles. Buffer: PBS containing 50% glycerol, preserved with proclin300 or sodium azide, pH 7.3.
Western blot analysis of various lysates, using ALKBH8 Rabbit pAb (CAB7142) at 1:14000 dilution. Secondary antibody: HRP-conjugated Goat anti-Rabbit IgG (H+L) (CABS014) at 1:10000 dilution. Lysates/proteins: 25μg per lane. Blocking buffer: 3% nonfat dry milk in TBST. Detection: ECL Basic Kit (AbGn00020). Exposure time: 60s.
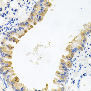
Immunohistochemistry analysis of paraffin-embedded Mouse lung using ALKBH8 Rabbit pAb (CAB7142) at dilution of 1:100 (40x lens). Microwave antigen retrieval performed with 0.01M PBS Buffer (pH 7.2) prior to IHC staining.