The AMPKa1/AMPKa2 Antibody (CAB12718) is a high-quality antibody developed for reliable detection and analysis of target proteins. This antibody, generated in rabbits, is highly specific for both AMPKα1 and AMPKα2 isoforms, allowing for robust detection and analysis in various experimental settings.AMPK is a key regulator of cellular energy homeostasis and metabolism, making it a critical player in numerous physiological processes, including glucose and lipid metabolism, autophagy, and cellular growth. Dysregulation of AMPK activity has been implicated in various diseases, such as diabetes, obesity, and cancer, highlighting the importance of studying this pathway for therapeutic interventions.The AMPKα1/AMPKα2 Polyclonal Antibody is validated for use in Western blot applications, enabling researchers to accurately assess the expression levels and activation states of AMPK in cell lysates or tissue samples.
This antibody is validated for use in WB, IHC-P, ELISA applications and has demonstrated reactivity against Human, Mouse, Rat samples.
Product Name:
AMPKa1/AMPKa2 Antibody
SKU:
CAB12718
Size:
20μL, 100μL
Reactivity:
Human, Mouse, Rat
Conjugate:
Unconjugated
Immunogen:
Recombinant protein (or fragment).This information is considered to be commercially sensitive.
The protein encoded by this gene belongs to the ser/thr protein kinase family. It is the catalytic subunit of the 5'-prime-AMP-activated protein kinase (AMPK). AMPK is a cellular energy sensor conserved in all eukaryotic cells. The kinase activity of AMPK is activated by the stimuli that increase the cellular AMP/ATP ratio. AMPK regulates the activities of a number of key metabolic enzymes through phosphorylation. It protects cells from stresses that cause ATP depletion by switching off ATP-consuming biosynthetic pathways. Alternatively spliced transcript variants encoding distinct isoforms have been observed.
Purification Method
Affinity purification
Gene ID
5562 5563
RRID
AB_2759559
Buffer Information
Store at -20℃. Avoid freeze / thaw cycles. Buffer: PBS containing 50% glycerol, preserved with proclin300 or sodium azide, pH 7.3.
Western blot analysis of various lysates, using AMPKa1/AMPKa2 Rabbit pAb (CAB12718) at 1:1000 dilution. Secondary antibody: HRP-conjugated Goat anti-Rabbit IgG (H+L) (CABS014) at 1:10000 dilution. Lysates/proteins: 25μg per lane. Blocking buffer: 3% nonfat dry milk in TBST. Detection: ECL Basic Kit (AbGn00020). Exposure time: 45s.
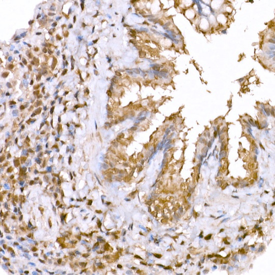
Immunohistochemistry analysis of paraffin-embedded Human colon using AMPKa1/AMPKa2 Rabbit pAb (CAB12718) at dilution of 1:20 (40x lens). High pressure antigen retrieval performed with 0.01M Citrate buffer (pH 6.0) prior to IHC staining.
Immunohistochemistry analysis of paraffin-embedded Rat lung using AMPKa1/AMPKa2 Rabbit pAb (CAB12718) at dilution of 1:20 (40x lens). High pressure antigen retrieval performed with 0.01M Citrate buffer (pH 6.0) prior to IHC staining.