The ANKRD33 Polyclonal Antibody (PAC037274) is a valuable tool for researchers studying ANKRD33, a protein involved in cell growth and differentiation processes. This antibody, produced in rabbits, is highly specific to human samples and has been validated for use in Western blotting applications. By targeting the ANKRD33 protein, researchers can detect and analyze its expression in various cell types, making it an ideal tool for studies in cell biology and developmental research.ANKRD33 has been implicated in various cellular processes, including cell proliferation, differentiation, and apoptosis.
Understanding the role of ANKRD33 is crucial for unraveling its function in development and disease. The ANKRD33 Polyclonal Antibody can help researchers delve deeper into the mechanisms by which ANKRD33 influences cellular behavior, providing insights that may lead to new therapeutic strategies for conditions related to abnormal cell growth and differentiation.
Antibody Name:
ANKRD33 Antibody (PACO37274)
Antibody SKU:
PACO37274
Size:
50ug
Host Species:
Rabbit
Tested Applications:
ELISA, IHC
Recommended Dilutions:
ELISA:1:2000-1:10000, IHC:1:20-1:200
Species Reactivity:
Human
Immunogen:
Recombinant Human Photoreceptor ankyrin repeat protein (1-272AA)
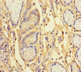
Immunohistochemistry of paraffin-embedded human gastric cancer using PACO37274 at dilution of 1:100.
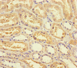
Immunohistochemistry of paraffin-embedded human kidney tissue using PACO37274 at dilution of 1:100.
Background:
Acts as a transcriptional repressor for CRX-activated photoreceptor gene regulation.
Synonyms:
Photoreceptor ankyrin repeat protein (Ankyrin repeat domain-containing protein 33), ANKRD33, C12orf7 PANKY
UniProt Protein Function:
ANKRD33: 2 isoforms of the human protein are produced by alternative splicing.Protein type: Unknown functionChromosomal Location of Human Ortholog: 12q13.13Cellular Component: nucleus; cytosolBiological Process: negative regulation of transcription from RNA polymerase II promoter