The COX6B1 Monoclonal Antibody (CAB2228) is a high-quality antibody developed for reliable detection and analysis of target proteins. This antibody, produced in rabbits, exhibits high reactivity with human samples and has been validated for use in Western blot applications. By targeting the COX6B1 protein, this antibody enables precise detection and analysis in a variety of cell types, making it an excellent choice for research in the fields of bioenergetics, metabolism, and mitochondrial dysfunction.COX6B1 is a crucial component of the electron transport chain, playing a vital role in oxidative phosphorylation and ATP production within mitochondria.
This antibody is validated for use in WB, IHC-P, ELISA applications and has demonstrated reactivity against Human samples.
Product Name:
COX6B1 Monoclonal Antibody
SKU:
CAB2228
Size:
20μL, 100μL
Reactivity:
Human
Clone Number:
ARC2568
Conjugate:
Unconjugated
Immunogen:
Synthetic peptide. This information is considered to be commercially sensitive.
Recommended starting concentration is 1 μg/mL. Please optimize the concentration based on your specific assay requirements.
Synonyms:
COXG, COX6B, MC4DN7, COXVIb1, COX6B1
Positive Sample:
293T, SH-SY5Y
Cellular Localization:
Mitochondrion Intermembrane Space.
Calculated MW:
10kDa
Observed MW:
10kDa
Cytochrome c oxidase (COX), the terminal enzyme of the mitochondrial respiratory chain, catalyzes the electron transfer from reduced cytochrome c to oxygen. It is a heteromeric complex consisting of 3 catalytic subunits encoded by mitochondrial genes and multiple structural subunits encoded by nuclear genes. The mitochondrially-encoded subunits function in electron transfer, and the nuclear-encoded subunits may be involved in the regulation and assembly of the complex. This nuclear gene encodes subunit VIb. Mutations in this gene are associated with severe infantile encephalomyopathy. Three pseudogenes COX6BP-1, COX6BP-2 and COX6BP-3 have been found on chromosomes 7, 17 and 22q13.1-13.2, respectively.
Purification Method
Affinity purification
Gene ID
1340
Buffer Information
Store at -20℃. Avoid freeze / thaw cycles. Buffer: PBS containing 50% glycerol and 0.05% BSA, preserved with proclin300 or sodium azide, pH 7.3.
Western blot analysis of various lysates using COX6B1 Rabbit mAb (CAB2228) at 1:1000 dilution. Secondary antibody: HRP-conjugated Goat anti-Rabbit IgG (H+L) (CABS014) at 1:10000 dilution. Lysates/proteins: 25μg per lane. Blocking buffer: 3% nonfat dry milk in TBST. Detection: ECL Enhanced Kit (AbGn00021). Exposure time: 180s.
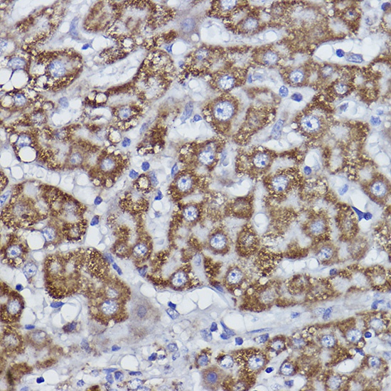
Immunohistochemistry analysis of paraffin-embedded Human liver using COX6B1 Rabbit mAb (CAB2228) at dilution of 1:100 (40x lens). High pressure antigen retrieval performed with 0.01M Citrate buffer (pH 6.0) prior to IHC staining.