The CXCL4/PF4 Monoclonal Antibody (CAB3694) is a high-quality antibody developed for reliable detection and analysis of target proteins. This antibody, generated in rabbits, exhibits high specificity for human samples and has been validated for use in Western blot applications. By targeting the CXCL4/PF4 protein, researchers can accurately detect and analyze its expression in different cell types, making it a valuable tool for studies in immunology, inflammation, and cancer research.CXCL4/PF4, a member of the CXC chemokine family, is known to play a role in regulating immune responses, inflammation, and angiogenesis. Its involvement in various diseases, including cancer and inflammatory conditions, highlights its significance as a potential therapeutic target.
This antibody is validated for use in WB, IHC-P, ELISA, IF-P applications and has demonstrated reactivity against Human, Mouse, Rat samples.
Product Name:
CXCL4/PF4 Monoclonal Antibody
SKU:
CAB3694
Size:
20μL, 100μL
Reactivity:
Human, Mouse, Rat
Clone Number:
ARC2076
Conjugate:
Unconjugated
Immunogen:
Synthetic peptide. This information is considered to be commercially sensitive.
This gene encodes a member of the CXC chemokine family. This chemokine is released from the alpha granules of activated platelets in the form of a homotetramer which has high affinity for heparin and is involved in platelet aggregation. This protein is chemotactic for numerous other cell type and also functions as an inhibitor of hematopoiesis, angiogenesis and T-cell function. The protein also exhibits antimicrobial activity against Plasmodium falciparum.
Purification Method
Affinity purification
Gene ID
5196
RRID
AB_2863119
Buffer Information
Store at -20℃. Avoid freeze / thaw cycles. Buffer: PBS containing 50% glycerol and 0.05% BSA, preserved with proclin300 or sodium azide, pH 7.3.
Western blot analysis of various lysates using CXCL4/PF4 Rabbit mAb (CAB3694) at 1:1000 dilution. Secondary antibody: HRP-conjugated Goat anti-Rabbit IgG (H+L) (CABS014) at 1:10000 dilution. Lysates/proteins: 25μg per lane. Blocking buffer: 3% nonfat dry milk in TBST. Detection: ECL Basic Kit (AbGn00020). Exposure time: 30s.
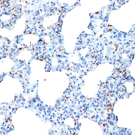
Immunohistochemistry analysis of paraffin-embedded Rat lung using CXCL4/PF4 Rabbit mAb (CAB3694) at dilution of 1:100 (40x lens). Microwave antigen retrieval performed with 0.01M Tris/EDTA Buffer (pH 9.0) prior to IHC staining.
Confocal imaging of Mouse leg bone using CXCL4/PF4 Rabbit mAb (CAB3694,dilution 1:100)(Red). DAPI was used for nuclear staining (blue). Objective: 40x.