The DBT Antibody (CAB20381) is a high-quality antibody developed for reliable detection and analysis of target proteins. This antibody, produced in rabbits, is highly reactive with human samples and has been validated for use in Western blot applications. It binds to the DBT protein, allowing for precise detection and analysis in various cell types, making it ideal for studies in metabolic disorders and cancer research.DBT is an essential enzyme involved in the breakdown of branched-chain amino acids, playing a crucial role in energy production and metabolism.
This antibody is validated for use in WB, IHC-P, IF/ICC, ELISA applications and has demonstrated reactivity against Human, Mouse, Rat samples.
Product Name:
DBT Antibody
SKU:
CAB20381
Size:
20μL, 100μL
Reactivity:
Human, Mouse, Rat
Conjugate:
Unconjugated
Immunogen:
Recombinant protein (or fragment).This information is considered to be commercially sensitive.
The branched-chain alpha-keto acid dehydrogenase complex (BCKD) is an inner-mitochondrial enzyme complex involved in the breakdown of the branched-chain amino acids isoleucine, leucine, and valine. The BCKD complex is thought to be composed of a core of 24 transacylase (E2) subunits, and associated decarboxylase (E1), dehydrogenase (E3), and regulatory subunits. This gene encodes the transacylase (E2) subunit. Mutations in this gene result in maple syrup urine disease, type 2. Alternatively spliced transcript variants have been described, but their biological validity has not been determined.
Purification Method
Affinity purification
Gene ID
1629
Buffer Information
Store at -20℃. Avoid freeze / thaw cycles. Buffer: PBS containing 50% glycerol, preserved with proclin300 or sodium azide, pH 7.3.
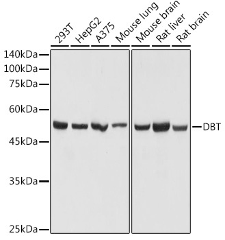
Western blot analysis of various lysates using DBT Rabbit pAb (CAB20381) at 1:1000 dilution. Secondary antibody: HRP-conjugated Goat anti-Rabbit IgG (H+L) (CABS014) at 1:10000 dilution. Lysates/proteins: 25μg per lane. Blocking buffer: 3% nonfat dry milk in TBST. Detection: ECL Basic Kit (AbGn00020). Exposure time: 1s.
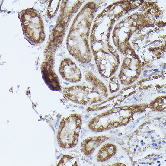
Immunohistochemistry analysis of paraffin-embedded Mouse kidney using DBT Rabbit pAb (CAB20381) at dilution of 1:50 (40x lens). High pressure antigen retrieval performed with 0.01M Citrate buffer (pH 6.0) prior to IHC staining.
Immunofluorescence analysis of PC-12 cells using DBT Rabbit pAb (CAB20381) at dilution of 1:100 (40x lens). Secondary antibody: Cy3-conjugated Goat anti-Rabbit IgG (H+L) (CABS007) at 1:500 dilution. Blue: DAPI for nuclear staining.