The ERAB/HSD17B10 Monoclonal Antibody (CAB0959) is a high-quality antibody developed for reliable detection and analysis of target proteins. This polyclonal antibody, generated in rabbits, is highly specific to human ERAB/HSD17B10 and is validated for use in Western blot applications.ERAB/HSD17B10 plays a critical role in maintaining cellular lipid homeostasis and energy metabolism, making it a potential target for therapeutic interventions in metabolic disorders and cancer. By specifically binding to the ERAB/HSD17B10 protein, this antibody enables accurate detection and analysis in a variety of cell types, making it ideal for studies in metabolism, mitochondrial function, and cancer biology.
This antibody is validated for use in WB, ELISA applications and has demonstrated reactivity against Human, Mouse, Rat samples.
Product Name:
ERAB/HSD17B10 Monoclonal Antibody
SKU:
CAB0959
Size:
20μL, 100μL
Reactivity:
Human, Mouse, Rat
Clone Number:
ARC1852
Conjugate:
Unconjugated
Immunogen:
Synthetic peptide. This information is considered to be commercially sensitive.
This gene encodes 3-hydroxyacyl-CoA dehydrogenase type II, a member of the short-chain dehydrogenase/reductase superfamily. The gene product is a mitochondrial protein that catalyzes the oxidation of a wide variety of fatty acids and steroids, and is a subunit of mitochondrial ribonuclease P, which is involved in tRNA maturation. The protein has been implicated in the development of Alzheimer disease, and mutations in the gene are the cause of 17beta-hydroxysteroid dehydrogenase type 10 (HSD10) deficiency. Several alternatively spliced transcript variants have been identified, but the full-length nature of only two transcript variants has been determined.
Purification Method
Affinity purification
Gene ID
3028
RRID
AB_2861489
Buffer Information
Store at -20℃. Avoid freeze / thaw cycles. Buffer: PBS containing 50% glycerol and 0.05% BSA, preserved with proclin300 or sodium azide, pH 7.3.
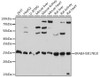
Western blot analysis of various lysates using ERAB/HSD17B10 Rabbit mAb (CAB0959) at 1:1000 dilution. Secondary antibody: HRP-conjugated Goat anti-Rabbit IgG (H+L) (CABS014) at 1:10000 dilution. Lysates/proteins: 25μg per lane. Blocking buffer: 3% nonfat dry milk in TBST. Detection: ECL Basic Kit (AbGn00020). Exposure time: 10s.