The EXOC3 Monoclonal Antibody (CAB20925) is a high-quality antibody developed for reliable detection and analysis of target proteins. This antibody, produced in rabbits, exhibits high specificity for human samples and is suitable for use in Western blotting applications. By binding to the Exoc3 protein, this antibody enables precise detection and analysis of this important molecule in a variety of cell types, making it an invaluable asset for studies in cell biology and neuroscience.Exoc3 is a crucial component of the exocyst complex, which coordinates the delivery of vesicles to the plasma membrane during various cellular processes, including neurotransmitter release and cell migration.
This antibody is validated for use in WB, ELISA applications and has demonstrated reactivity against Human, Mouse, Rat samples.
Product Name:
EXOC3 Monoclonal Antibody
SKU:
CAB20925
Size:
20μL, 100μL
Reactivity:
Human, Mouse, Rat
Clone Number:
ARC2900
Conjugate:
Unconjugated
Immunogen:
Recombinant protein (or fragment).This information is considered to be commercially sensitive.
Recommended starting concentration is 1 μg/mL. Please optimize the concentration based on your specific assay requirements.
Synonyms:
SEC6, Sec6p, SEC6L1, EXOC3
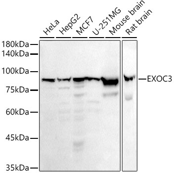
Positive Sample:
HeLa, HepG2, MCF7, U-251MG, Mouse brain, Rat brain
Cellular Localization:
Cytosol, Exocyst, Golgi Apparatus, Growth Cone, Perinuclear Region Of Cytoplasm, Presynaptic Membrane.
Calculated MW:
86kDa
Observed MW:
85kDa
The protein encoded by this gene is a component of the exocyst complex, a multiple protein complex essential for targeting exocytic vesicles to specific docking sites on the plasma membrane. Though best characterized in yeast, the component proteins and functions of exocyst complex have been demonstrated to be highly conserved in higher eukaryotes. At least eight components of the exocyst complex, including this protein, are found to interact with the actin cytoskeletal remodeling and vesicle transport machinery. The complex is also essential for the biogenesis of epithelial cell surface polarity.
Purification Method
Affinity purification
Gene ID
11336
Buffer Information
Store at -20℃. Avoid freeze / thaw cycles. Buffer: PBS containing 50% glycerol and 0.05% BSA, preserved with proclin300 or sodium azide, pH 7.3.
Western blot analysis of various lysates using EXOC3 Rabbit mAb (CAB20925) at 1:1000 dilution. Secondary antibody: HRP-conjugated Goat anti-Rabbit IgG (H+L) (CABS014) at 1:10000 dilution. Lysates/proteins: 25μg per lane. Blocking buffer: 3% nonfat dry milk in TBST. Detection: ECL Basic Kit (AbGn00020). Exposure time: 180s.