The FGF7/KGF Monoclonal Antibody (CAB5966) is a high-quality antibody developed for reliable detection and analysis of target proteins. This polyclonal antibody, produced in-house, is highly specific and reactive with human samples, making it ideal for a variety of research applications.FGF7 is a critical growth factor involved in tissue regeneration, wound healing, and epithelial proliferation. Its aberrant expression has been linked to various diseases, including cancer and inflammatory conditions. The Anti-FGF7/KGF Antibody binds specifically to FGF7/KGF, allowing for the detection and analysis of this protein in various cell types and tissues.
This antibody is validated for use in WB, ELISA applications and has demonstrated reactivity against Human, Mouse, Rat samples.
Product Name:
FGF7/KGF Monoclonal Antibody
SKU:
CAB5966
Size:
20μL, 100μL
Reactivity:
Human, Mouse, Rat
Clone Number:
ARC2107
Conjugate:
Unconjugated
Immunogen:
Synthetic peptide. This information is considered to be commercially sensitive.
The protein encoded by this gene is a member of the fibroblast growth factor (FGF) family. FGF family members possess broad mitogenic and cell survival activities, and are involved in a variety of biological processes, including embryonic development, cell growth, morphogenesis, tissue repair, tumor growth and invasion. This protein is a potent epithelial cell-specific growth factor, whose mitogenic activity is predominantly exhibited in keratinocytes but not in fibroblasts and endothelial cells. Studies of mouse and rat homologs of this gene implicated roles in morphogenesis of epithelium, reepithelialization of wounds, hair development and early lung organogenesis.
Purification Method
Affinity purification
Gene ID
2252
Buffer Information
Store at -20℃. Avoid freeze / thaw cycles. Buffer: PBS containing 50% glycerol and 0.05% BSA, preserved with proclin300 or sodium azide, pH 7.3.
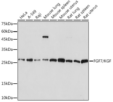
Western blot analysis of various lysates using FGF7/FGF7/KGF Rabbit mAb (CAB5966) at 1:1000 dilution. Secondary antibody: HRP-conjugated Goat anti-Rabbit IgG (H+L) (CABS014) at 1:10000 dilution. Lysates/proteins: 25μg per lane. Blocking buffer: 3% nonfat dry milk in TBST. Detection: ECL Basic Kit (AbGn00020). Exposure time: 60s.