The GAPDH Mouse mAb (CABC002) is a high-quality antibody developed for reliable detection and analysis of target proteins. GAPDH is a moonlighting protein that catalyzes the reversible oxidative phosphorylation of glyceraldehyde-3-phosphate in glycolysis while also performing distinct nuclear functions including uracil DNA glycosylase activity and antimicrobial peptide production. Its ubiquitous and stable expression makes it one of the most widely used loading controls in western blotting and gene expression normalization.
This antibody is validated for use in WB, IHC-P, IF/ICC, ELISA applications and has demonstrated reactivity against Human, Mouse, Rat samples.
Product Name:
GAPDH Mouse mAb
SKU:
CABC002
Size:
100μL
Reactivity:
Human, Mouse, Rat
Clone Number:
AMC0062R
Conjugate:
Unconjugated
Immunogen:
Recombinant protein (or fragment).This information is considered to be commercially sensitive.
Tested Applications:
WBIHC-PIF/ICCELISA
Recommended Dilution:
WB
1:5000 - 1:50000
IHC-P
1:50 - 1:200
IF/ICC
1:50 - 1:200
ELISA
Recommended starting concentration is 1 μg/mL. Please optimize the concentration based on your specific assay requirements.
Synonyms:
G3PD, GAPD, HEL-S-162eP, GAPDH
Positive Sample:
HeLa, 293T, Hep G2, Mouse liver, Mouse spleen, Rat liver, Rat kidney
This gene encodes a member of the glyceraldehyde-3-phosphate dehydrogenase protein family. The encoded protein has been identified as a moonlighting protein based on its ability to perform mechanistically distinct functions. The product of this gene catalyzes an important energy-yielding step in carbohydrate metabolism, the reversible oxidative phosphorylation of glyceraldehyde-3-phosphate in the presence of inorganic phosphate and nicotinamide adenine dinucleotide (NAD). The encoded protein has additionally been identified to have uracil DNA glycosylase activity in the nucleus. Also, this protein contains a peptide that has antimicrobial activity against E. coli, P. aeruginosa, and C. albicans. Studies of a similar protein in mouse have assigned a variety of additional functions including nitrosylation of nuclear proteins, the regulation of mRNA stability, and acting as a transferrin receptor on the cell surface of macrophage. Many pseudogenes similar to this locus are present in the human genome. Alternative splicing results in multiple transcript variants.
Purification Method
Affinity purification
Gene ID
2597
RRID
AB_2736879
Buffer Information
Store at -20℃. Avoid freeze / thaw cycles. Buffer: PBS containing 50% glycerol, preserved with proclin300 or sodium azide, pH 7.3.
Western blot analysis of various lysates using GAPDH Mouse mAb (CABC002) at 1:10000 dilution incubated overnight at 4°C. Secondary antibody: HRP-conjugated Goat anti-Mouse IgG (H+L) (CABS003) at 1:10000 dilution. Lysates/proteins: 25μg per lane. Blocking buffer: 3% nonfat dry milk in TBST. Detection: ECL Basic Kit (AbGn00020). Exposure time: 1s.
Western blot analysis of lysates from HeLa cells using GAPDH Mouse mAb (CABC002) at 1:5000-1:1280000 dilution incubated overnight at 4℃. Secondary antibody: HRP-conjugated Goat anti-Mouse IgG (H+L) (CABS003) at 1:10000 dilution. Lysates/proteins: 25 μg per lane. Blocking buffer: 3% nonfat dry milk in TBST. Detection: ECL Basic Kit (AbGn00020) Exposure time: 20 s.
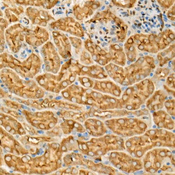
Immunohistochemistry analysis of paraffin-embedded Mouse kidney using GAPDH Mouse mAb (CABC002) at dilution of 1:100 (40x lens). High pressure antigen retrieval performed with 0.01M Citrate buffer (pH 6.0) prior to IHC staining.
Immunofluorescence analysis of HeLa cells using GAPDH Mouse mAb (CABC002) at a dilution of 1:100 (40x lens). Secondary antibody: Cy3-conjugated Goat anti-Rabbit IgG (H+L)(CABS007) at 1:500 dilution. Blue: DAPI for nuclear staining.
Immunofluorescence analysis of PC-12 cells using GAPDH Mouse mAb (CABC002) at a dilution of 1:100 (40x lens). Secondary antibody: Cy3-conjugated Goat anti-Rabbit IgG (H+L)(CABS007) at 1:500 dilution. Blue: DAPI for nuclear staining.