The HNRNPA3 Antibody (CAB20212) is a high-quality antibody developed for reliable detection and analysis of target proteins. This antibody, produced in rabbits, exhibits high specificity and sensitivity towards HNRNPA3 in human samples, making it an ideal choice for use in Western blot applications.HNRNPA3 is known to be involved in diverse biological functions such as pre-mRNA processing, mRNA transport, and regulation of alternative splicing. Dysregulation of HNRNPA3 has been associated with several diseases including cancer, neurodegenerative disorders, and autoimmune diseases.
This antibody is validated for use in WB, IHC-P, ELISA applications and has demonstrated reactivity against Human, Mouse, Rat samples.
Product Name:
HNRNPA3 Antibody
SKU:
CAB20212
Size:
20μL, 100μL
Reactivity:
Human, Mouse, Rat
Conjugate:
Unconjugated
Immunogen:
Synthetic peptide. This information is considered to be commercially sensitive.
Recommended starting concentration is 1 μg/mL. Please optimize the concentration based on your specific assay requirements.
Synonyms:
FBRNP, HNRPA3, D10S102, 2610510D13Rik, HNRNPA3
Positive Sample:
U-251MG
Cellular Localization:
Nucleus.
Calculated MW:
40kDa
Observed MW:
40kDa
Enables RNA binding activity. Predicted to be involved in mRNA splicing, via spliceosome. Located in nucleoplasm. Part of catalytic step 2 spliceosome.
Purification Method
Affinity purification
Gene ID
220988
Buffer Information
Store at -20℃. Avoid freeze / thaw cycles. Buffer: PBS containing 50% glycerol, preserved with proclin300 or sodium azide, pH 7.3.
Western blot analysis of lysates from U-251MG cells, using HNRNPA3 Rabbit pAb (CAB20212) at 1:1000 dilution. Secondary antibody: HRP-conjugated Goat anti-Rabbit IgG (H+L) (CABS014) at 1:10000 dilution. Lysates/proteins: 25μg per lane. Blocking buffer: 3% nonfat dry milk in TBST. Detection: ECL Basic Kit (AbGn00020). Exposure time: 1s.
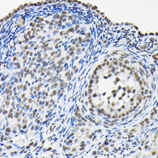
Immunohistochemistry analysis of paraffin-embedded Rat ovary using HNRNPA3 Rabbit pAb (CAB20212) at dilution of 1:100 (40x lens). High pressure antigen retrieval performed with 0.01M Citrate buffer (pH 6.0) prior to IHC staining.
Immunohistochemistry analysis of paraffin-embedded Mouse brain using HNRNPA3 Rabbit pAb (CAB20212) at dilution of 1:100 (40x lens). High pressure antigen retrieval performed with 0.01M Citrate buffer (pH 6.0) prior to IHC staining.