The MUC4 Monoclonal Antibody (CAB3438) is a high-quality antibody developed for reliable detection and analysis of target proteins. This antibody, produced in rabbits, exhibits high reactivity with human samples and is validated for use in multiple applications, including immunohistochemistry and Western blotting. By binding specifically to the MUC4 protein, this antibody enables precise detection and analysis in a variety of cell types, making it an essential component for studies in cancer biology and mucin research.MUC4, a membrane-bound mucin, is known for its role in promoting tumor progression and metastasis in various cancers.
This antibody is validated for use in WB, IHC-P, ELISA applications and has demonstrated reactivity against Human, Rat samples.
Product Name:
MUC4 Monoclonal Antibody
SKU:
CAB3438
Size:
20μL, 100μL
Reactivity:
Human, Rat
Clone Number:
ARC1999
Conjugate:
Unconjugated
Immunogen:
Recombinant protein (or fragment).This information is considered to be commercially sensitive.
The major constituents of mucus, the viscous secretion that covers epithelial surfaces such as those in the trachea, colon, and cervix, are highly glycosylated proteins called mucins. These glycoproteins play important roles in the protection of the epithelial cells and have been implicated in epithelial renewal and differentiation. This gene encodes an integral membrane glycoprotein found on the cell surface, although secreted isoforms may exist. At least two dozen transcript variants of this gene have been found, although for many of them the full-length transcript has not been determined or they are found only in tumor tissues. This gene contains a region in the coding sequence which has a variable number (>100) of 48 nt tandem repeats.
Purification Method
Affinity purification
Gene ID
4585
Buffer Information
Store at -20℃. Avoid freeze / thaw cycles. Buffer: PBS containing 50% glycerol and 0.05% BSA, preserved with proclin300 or sodium azide, pH 7.3.
Western blot analysis of various lysates using MUC4 Rabbit mAb (CAB3438) at 1:1000 dilution incubated overnight at 4℃. Secondary antibody: HRP-conjugated Goat anti-Rabbit IgG (H+L) (CABS014) at 1:10000 dilution. Lysates/proteins: 25 μg per lane. Blocking buffer: 3% nonfat dry milk in TBST. Detection: ECL Basic Kit (AbGn00020). Negative control (NC): PANC-1. Exposure time: 1 s.
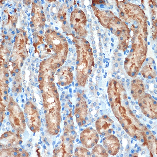
Immunohistochemistry analysis of paraffin-embedded Rat kidney using MUC4 Rabbit mAb (CAB3438) at dilution of 1:100 (40x lens). Microwave antigen retrieval performed with 0.01M Tris/EDTA Buffer (pH 9.0) prior to IHC staining.