The NANOG Antibody (CAB3232) is a high-quality antibody developed for reliable detection and analysis of target proteins. This antibody, produced in rabbits, demonstrates high reactivity with human samples and is validated for use in various applications, including immunofluorescence and immunohistochemistry.Nanog plays a critical role in regulating the expression of genes involved in stem cell maintenance and differentiation, making it an important target for studies in regenerative medicine and developmental biology.
This antibody is validated for use in WB, IHC-P, ELISA applications and has demonstrated reactivity against Human, Mouse, Rat samples.
Product Name:
NANOG Antibody
SKU:
CAB3232
Size:
20μL, 100μL
Reactivity:
Human, Mouse, Rat
Conjugate:
Unconjugated
Immunogen:
Recombinant protein (or fragment).This information is considered to be commercially sensitive.
Recommended starting concentration is 1 μg/mL. Please optimize the concentration based on your specific assay requirements.
Synonyms:
NANOG, Nanog
Positive Sample:
Rat brain
Cellular Localization:
Nucleus.
Calculated MW:
35kDa
Observed MW:
42kDa
The protein encoded by this gene is a DNA binding homeobox transcription factor involved in embryonic stem (ES) cell proliferation, renewal, and pluripotency. The encoded protein can block ES cell differentiation and can also autorepress its own expression in differentiating cells. Two transcript variants encoding different isoforms have been found for this gene.
Purification Method
Affinity purification
Gene ID
79923
RRID
AB_2765000
Buffer Information
Store at -20℃. Avoid freeze / thaw cycles. Buffer: PBS containing 50% glycerol, preserved with proclin300 or sodium azide, pH 7.3.
Western blot analysis of lysates from Rat brain, using Nanog Rabbit pAb (CAB3232) at 1:500 dilution. Secondary antibody: HRP-conjugated Goat anti-Rabbit IgG (H+L) (CABS014) at 1:10000 dilution. Lysates/proteins: 25μg per lane. Blocking buffer: 3% nonfat dry milk in TBST. Detection: ECL Basic Kit (AbGn00020). Exposure time: 60s.
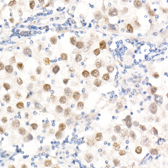
Immunohistochemistry analysis of paraffin-embedded Human testicular seminoma using Nanog Rabbit pAb (CAB3232) at dilution of 1:20 (40x lens). High pressure antigen retrieval performed with 0.01M Citrate buffer (pH 6.0) prior to IHC staining.