The Nitro-Tyrosine Antibody (CAB20506) is a high-quality antibody developed for reliable detection and analysis of target proteins. Nitro tyrosine is a marker of protein damage caused by reactive nitrogen species, and its detection is crucial for understanding the role of oxidative stress in various diseases, including neurodegenerative disorders, cardiovascular diseases, and cancer.This polyclonal antibody, produced in rabbits, is highly specific to nitro tyrosine and has been validated for use in various applications, including immunohistochemistry and ELISA.
This antibody is validated for use in WB, ELISA applications and has demonstrated reactivity against Human, Mouse, Rat samples.
Product Name:
Nitro-Tyrosine Antibody
SKU:
CAB20506
Size:
20μL, 100μL
Reactivity:
Human, Mouse, Rat
Conjugate:
Unconjugated
Immunogen:
Chemical compounds corresponding to Nitro-Tyrosine.
Tested Applications:
WBELISA
Recommended Dilution:
WB
1:500 - 1:1000
ELISA
Recommended starting concentration is 1 μg/mL. Please optimize the concentration based on your specific assay requirements.
Positive Sample:
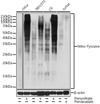
HeLa treated with Perxynitrate, NIH/3T3 treated with Perxynitrate, C6 treated with Perxynitrate
Observed MW:
10-250kDa
Tyrosine nitration of proteins is one of the most important oxidative post-translational modifications in vivo. A major obstacle for its biochemical and physiological studies is the lack of efficient and chemoselective protein tyrosine nitration reagents.
Purification Method
Affinity purification
Buffer Information
Store at -20℃. Avoid freeze / thaw cycles. Buffer: PBS containing 50% glycerol, preserved with proclin300 or sodium azide, pH 7.3.
Western blot analysis of various lysates using Nitro-Tyrosine Rabbit pAb (CAB20506) at 1:1000 dilution. HeLa and C6 cells were treated with Perxynitrate(3mM)for 1 hours. NIH3T3 cells were treated with Perxynitrate(3mM)for 3 hours. Jurkat cells were treated with Pervanadate (1 mM) at 37℃ for 30 minutes. Secondary antibody: HRP-conjugated Goat anti-Rabbit IgG (H+L) (CABS014) at 1:10000 dilution. Lysates/proteins: 25μg per lane. Blocking buffer: 3% nonfat dry milk in TBST. Detection: ECL Basic Kit (AbGn00020). Exposure time: 30s.