Description
SARS-CoV-2 NSP15 Antibody (CAB20282)
The SARS-CoV-2 NSP15 Antibody (CAB20282) is a high-quality antibody developed for reliable detection and analysis of target proteins. This antibody, produced in rabbits, is highly specific and reacts with samples from SARS-CoV-2 infected individuals, making it a reliable tool for studying the virus in various research applications.NSP15 is a key enzyme in the coronavirus life cycle, playing a crucial role in viral RNA processing and evasion of the host immune response. By targeting NSP15, researchers can gain insights into the mechanisms of SARS-CoV-2 infection and potentially identify targets for antiviral therapies.
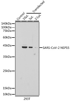
This antibody is validated for use in WB, ELISA applications and has demonstrated reactivity against SARS-CoV-2 samples.
| Product Name: | SARS-CoV-2 NSP15 Antibody |
| SKU: | CAB20282 |
| Size: | 20μL, 100μL |
| Reactivity: | SARS-CoV-2 |
| Immunogen: | Synthetic peptide. This information is considered to be commercially sensitive. | ||||
| Sequence: | VKGL QPSV GPKQ ASLN GVTL IGEA VKTQ FNYY KKVD GVVQ QLPE TYFT QSRN LQEF KPRS QMEI DFLE LAMD EFIE RYKL EGYA FEHI VYGD FSHS QLGG L | ||||
| Tested Applications: | WB ELISA | ||||
| Recommended Dilution: |
|
| Positive Sample: | 293T |
| Calculated MW: | 794kDa |
| Observed MW: | 42kDa |
Severe acute respiratory syndrome coronavirus 2 (SARS-CoV-2) is an enveloped, positive-sense, single-stranded RNA virus that causes coronavirus disease 2019 (COVID-19). Virus particles include the RNA genetic material and structural proteins needed for invasion of host cells. Once inside the cell the infecting RNA is used to encode structural proteins that make up virus particles, nonstructural proteins that direct virus assembly, transcription, replication and host control and accessory proteins whose function has not been determined.~ ORF1ab, the largest gene, contains overlapping open reading frames that encode polyproteins PP1ab and PP1a. The polyproteins are cleaved to yield 16 nonstructural proteins, NSP1-16. Production of the longer (PP1ab) or shorter protein (PP1a) depends on a -1 ribosomal frameshifting event. The proteins, based on similarity to other coronaviruses, include the papain-like proteinase protein (NSP3), 3C-like proteinase (NSP5), RNA-dependent RNA polymerase (NSP12, RdRp), helicase (NSP13, HEL), endoRNAse (NSP15), 2'-O-Ribose-Methyltransferase (NSP16) and other nonstructural proteins. SARS-CoV-2 nonstructural proteins are responsible for viral transcription, replication, proteolytic processing, suppression of host immune responses and suppression of host gene expression. The RNA-dependent RNA polymerase is a target of antiviral therapies.
| Purification Method | Affinity purification |
| Gene ID | 43740578 |
| Buffer Information | Store at -20℃. Avoid freeze / thaw cycles. Buffer: PBS with 0.01% thimerosal,50% glycerol,pH7.3. |
