The SOX10 Monoclonal Antibody (CAB8655) is a high-quality antibody developed for reliable detection and analysis of target proteins. This antibody, produced in rabbits, exhibits high reactivity with human samples and has been validated for use in various applications, including immunohistochemistry and Western blot.SOX10 plays a critical role in neural crest development and melanocyte differentiation, making it a key player in melanoma, neuroblastoma, and other diseases related to neural crest cell dysfunction.
This antibody is validated for use in WB, IF/ICC, ELISA applications and has demonstrated reactivity against Human, Mouse, Rat samples.
Product Name:
SOX10 Monoclonal Antibody
SKU:
CAB8655
Size:
20μL, 100μL
Reactivity:
Human, Mouse, Rat
Clone Number:
ARC1767
Conjugate:
Unconjugated
Immunogen:
Synthetic peptide. This information is considered to be commercially sensitive.
Recommended starting concentration is 1 μg/mL. Please optimize the concentration based on your specific assay requirements.
Synonyms:
DOM, WS4, PCWH, WS2E, WS4C, SOX-10, SOX10
Positive Sample:
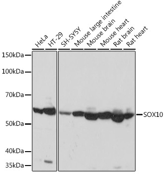
HeLa, HT-29, SH-SY5Y, Mouse large intestine, Mouse brain, Mouse heart, Rat brain, Rat heart
Cellular Localization:
Cytoplasm, Nucleus, Mitochondrion Outer Membrane.
Calculated MW:
50kDa
Observed MW:
62kDa
This gene encodes a member of the SOX (SRY-related HMG-box) family of transcription factors involved in the regulation of embryonic development and in the determination of the cell fate. The encoded protein may act as a transcriptional activator after forming a protein complex with other proteins. This protein acts as a nucleocytoplasmic shuttle protein and is important for neural crest and peripheral nervous system development. Mutations in this gene are associated with Waardenburg-Shah and Waardenburg-Hirschsprung disease.
Purification Method
Affinity purification
Gene ID
6663
RRID
AB_2863577
Buffer Information
Store at -20℃. Avoid freeze / thaw cycles. Buffer: PBS containing 50% glycerol and 0.05% BSA, preserved with proclin300 or sodium azide, pH 7.3.
Western blot analysis of various lysates using SOX10 Rabbit mAb (CAB8655) at 1:1000 dilution. Secondary antibody: HRP-conjugated Goat anti-Rabbit IgG (H+L) (CABS014) at 1:10000 dilution. Lysates/proteins: 25μg per lane. Blocking buffer: 3% nonfat dry milk in TBST. Detection: ECL Basic Kit (AbGn00020). Exposure time: 5s.
Immunofluorescence analysis of C6 cells using SOX10 Rabbit mAb (CAB8655) at dilution of 1:100 (40x lens). Secondary antibody: Cy3-conjugated Goat anti-Rabbit IgG (H+L) (CABS007) at 1:500 dilution. Blue: DAPI for nuclear staining.