The SRP72 Polyclonal Antibody (CAB10899) is a high-quality antibody developed for reliable detection and analysis of target proteins. This polyclonal antibody, raised in rabbits, has been extensively validated for use in Western blot applications with human samples, enabling researchers to detect and analyze SRP72 in various cell types.SRP72 is essential for the proper functioning of the SRP complex, which plays a crucial role in protein synthesis and cellular homeostasis. Dysregulation of SRP72 has been linked to various diseases, including neurodegenerative disorders and viral infections, making it a promising target for further research.
This antibody is validated for use in WB, IHC-P, IF/ICC, ELISA applications and has demonstrated reactivity against Human, Mouse, Rat samples.
Product Name:
SRP72 Polyclonal Antibody
SKU:
CAB10899
Size:
20μL, 100μL
Reactivity:
Human, Mouse, Rat
Conjugate:
Unconjugated
Immunogen:
Recombinant protein (or fragment).This information is considered to be commercially sensitive.
Recommended starting concentration is 1 μg/mL. Please optimize the concentration based on your specific assay requirements.
Synonyms:
BMFF, BMFS1, HEL103, SRP72
Positive Sample:
HeLa, HepG2
Cellular Localization:
Cytoplasm, Endoplasmic Reticulum.
Calculated MW:
75kDa
Observed MW:
72kDa
This gene encodes the 72 kDa subunit of the signal recognition particle (SRP), a ribonucleoprotein complex that mediates the targeting of secretory proteins to the endoplasmic reticulum (ER). The SRP complex consists of a 7S RNA and 6 protein subunits: SRP9, SRP14, SRP19, SRP54, SRP68, and SRP72, that are bound to the 7S RNA as monomers or heterodimers. SRP has at least 3 distinct functions that can be associated with the protein subunits: signal recognition, translational arrest, and ER membrane targeting by interaction with the docking protein. Mutations in this gene are associated with familial bone marrow failure. Alternatively spliced transcript variants encoding different isoforms have been found for this gene.
Purification Method
Affinity purification
Gene ID
6731
RRID
AB_2758303
Buffer Information
Store at -20℃. Avoid freeze / thaw cycles. Buffer: PBS containing 50% glycerol, preserved with proclin300 or sodium azide, pH 7.3.
Western blot analysis of various lysates using SRP72 Rabbit pAb (CAB10899) at 1:1000 dilution. Secondary antibody: HRP-conjugated Goat anti-Rabbit IgG (H+L) (CABS014) at 1:10000 dilution. Lysates/proteins: 25μg per lane. Blocking buffer: 3% nonfat dry milk in TBST. Detection: ECL Basic Kit (AbGn00020). Exposure time: 180s.
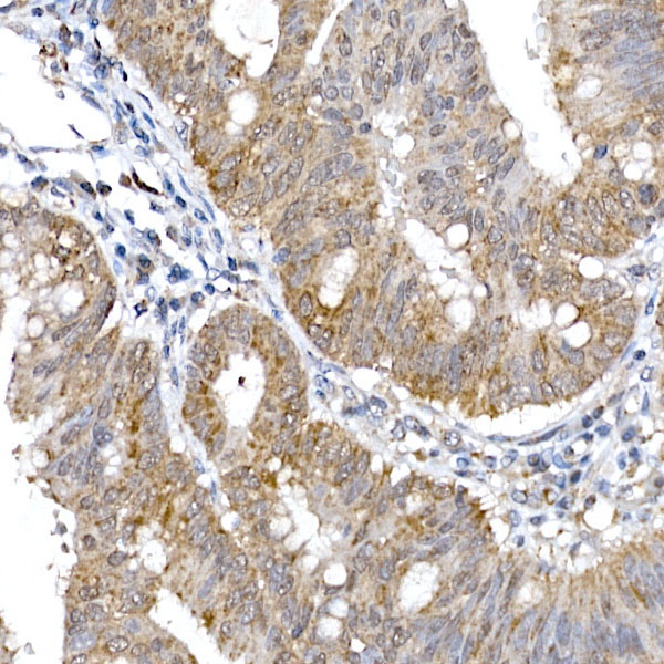
Immunohistochemistry analysis of paraffin-embedded Human colon carcinoma using SRP72 Rabbit pAb (CAB10899) at dilution of 1:100 (40x lens). High pressure antigen retrieval performed with 0.01M Citrate buffer (pH 6.0) prior to IHC staining.
Immunohistochemistry analysis of paraffin-embedded Rat brain using SRP72 Rabbit pAb (CAB10899) at dilution of 1:100 (40x lens). High pressure antigen retrieval performed with 0.01M Citrate buffer (pH 6.0) prior to IHC staining.
Immunofluorescence analysis of HeLa cells using SRP72 Rabbit pAb (CAB10899) at dilution of 1:100 (40x lens). Secondary antibody: Cy3-conjugated Goat anti-Rabbit IgG (H+L) (CABS007) at 1:500 dilution. Blue: DAPI for nuclear staining.
Immunofluorescence analysis of PC-12 cells using SRP72 Rabbit pAb (CAB10899) at dilution of 1:100 (40x lens). Secondary antibody: Cy3-conjugated Goat anti-Rabbit IgG (H+L) (CABS007) at 1:500 dilution. Blue: DAPI for nuclear staining.