The Syntaxin Monoclonal Antibody (CAB19813) is a high-quality antibody developed for reliable detection and analysis of target proteins. The protein encoded by this gene belongs to a family of proteins thought to play a role in the exocytosis of synaptic vesicles. Vesicle exocytosis releases vesicular contents and is important to various cellular functions. For instance, the secretion of transmitters from neurons plays an important role in synaptic transmission. After exocytosis, the membrane and proteins from the vesicle are retrieved from the plasma membrane through the process of endocytosis. Mutations in this gene have been identified as one cause of fever-associated epilepsy syndromes. A possible link between this gene and Parkinson's disease has also been suggested. [provided by RefSeq, Jan 2015]
This antibody is validated for use in WB, IHC-P, ELISA, IF-P applications and has demonstrated reactivity against Human, Mouse, Rat samples.
Product Name:
Syntaxin Monoclonal Antibody
SKU:
CAB19813
Size:
100μL, 20μL
Reactivity:
Human, Mouse, Rat
Clone Number:
ARC2339
Conjugate:
Unconjugated
Immunogen:
Synthetic peptide. This information is considered to be commercially sensitive.
Tested Applications:
WBIHC-PELISAIF-P
Recommended Dilution:
WB
1:500 - 1:2000
IF-P
1:50 - 1:200
IHC-P
1:500 - 1:1000
ELISA
Recommended starting concentration is 1 μg/mL. Please optimize the concentration based on your specific assay requirements.
Synonyms:
STX1A/STX1B/STX2/STX3, Syntaxin
Positive Sample:
Mouse spinal cord, Mouse brain, Rat spinal cord
Cellular Localization:
Axon, Centrosome, Cytoplasm, Cytosol, Microtubule Organizing Center, Neuromuscular Junction, Nuclear Lamina, Nucleoplasm, Nucleus, Plasma Membrane, Presynaptic Active Zone Membrane, Snare Complex, Spindle, Synaptic Vesicle.
Calculated MW:
33 kDa
Observed MW:
35 kDa
The protein encoded by this gene belongs to a family of proteins thought to play a role in the exocytosis of synaptic vesicles. Vesicle exocytosis releases vesicular contents and is important to various cellular functions. For instance, the secretion of transmitters from neurons plays an important role in synaptic transmission. After exocytosis, the membrane and proteins from the vesicle are retrieved from the plasma membrane through the process of endocytosis. Mutations in this gene have been identified as one cause of fever-associated epilepsy syndromes. A possible link between this gene and Parkinson's disease has also been suggested. [provided by RefSeq, Jan 2015]
Purification Method
Affinity purification
Gene ID
6804 112755 2054 6809
Buffer Information
Store at -20℃. Avoid freeze / thaw cycles. Buffer: PBS containing 50% glycerol and 0.05% BSA, preserved with proclin300 or sodium azide, pH 7.3.
Western blot analysis of various lysates using Syntaxin Rabbit mAb (CAB19813) at 1:1000 dilution. Secondary antibody: HRP-conjugated Goat anti-Rabbit IgG (H+L) (AS014) at 1:10000 dilution. Lysates/proteins: 25μg per lane. Blocking buffer: 3% nonfat dry milk in TBST. Detection: ECL Basic Kit (AbGn00020). Exposure time: 10s.
Western blot analysis of lysates from Rat spinal cord, using Syntaxin Rabbit mAb (CAB19813) at 1:1000 dilution. Secondary antibody: HRP-conjugated Goat anti-Rabbit IgG (H+L) (AS014) at 1:10000 dilution. Lysates/proteins: 25μg per lane. Blocking buffer: 3% nonfat dry milk in TBST. Detection: ECL Basic Kit (AbGn00020). Exposure time: 90s.
Immunohistochemistry analysis of paraffin-embedded Mouse brain tissue using Syntaxin Rabbit mAb (CAB19813) at a dilution of 1:1000 (40x lens). High pressure antigen retrieval was performed with 0.01 M citrate buffer (pH 6.0) prior to IHC staining.
Immunohistochemistry analysis of paraffin-embedded Human brain tissue using Syntaxin Rabbit mAb (CAB19813) at a dilution of 1:1000 (40x lens). High pressure antigen retrieval was performed with 0.01 M citrate buffer (pH 6.0) prior to IHC staining.
Immunohistochemistry analysis of paraffin-embedded Mouse testis tissue using Syntaxin Rabbit mAb (CAB19813) at a dilution of 1:1000 (40x lens). High pressure antigen retrieval was performed with 0.01 M citrate buffer (pH 6.0) prior to IHC staining.
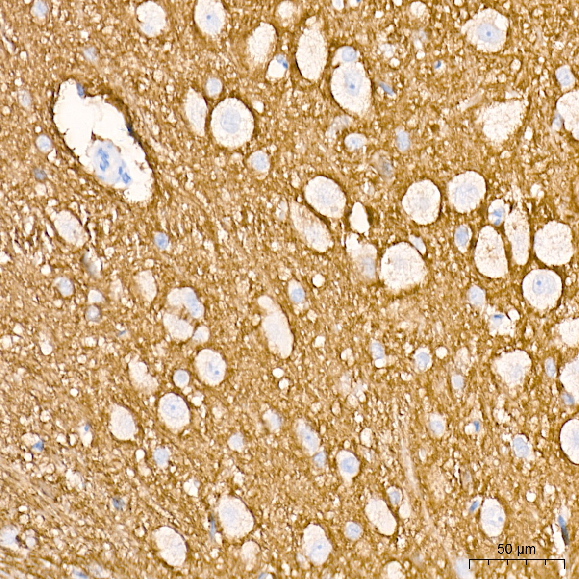
Immunohistochemistry analysis of paraffin-embedded Rat brain tissue using Syntaxin Rabbit mAb (CAB19813) at a dilution of 1:1000 (40x lens). High pressure antigen retrieval was performed with 0.01 M citrate buffer (pH 6.0) prior to IHC staining.
Immunofluorescence analysis of paraffin-embedded rat brain using Syntaxin Rabbit mAb (CAB19813) at dilution of 1:100 (40x lens). Secondary antibody: Cy3-conjugated Goat anti-Rabbit IgG (H+L) (AS007) at 1:500 dilution. Blue: DAPI for nuclear staining.