The Thyroglobulin Monoclonal Antibody (CAB3407) is a high-quality antibody developed for reliable detection and analysis of target proteins. This antibody, raised in rabbits, specifically targets thyroglobulin in human samples and is validated for use in various applications, including Western blotting and immunohistochemistry.Thyroglobulin is a key player in thyroid function and can serve as a biomarker for thyroid disorders, including thyroid cancer.
This antibody is validated for use in IHC-P, ELISA, IF-P applications and has demonstrated reactivity against Human, Mouse, Rat samples.
Product Name:
Thyroglobulin Monoclonal Antibody
SKU:
CAB3407
Size:
20μL, 100μL
Reactivity:
Human, Mouse, Rat
Clone Number:
ARC1971
Conjugate:
Unconjugated
Immunogen:
Synthetic peptide. This information is considered to be commercially sensitive.
Recommended starting concentration is 1 μg/mL. Please optimize the concentration based on your specific assay requirements.
Synonyms:
TGN, AITD3, Thyroglobulin
Cellular Localization:
Secreted.
Calculated MW:
305kDa
Thyroglobulin (Tg) is a glycoprotein homodimer produced predominantly by the thryroid gland. It acts as a substrate for the synthesis of thyroxine and triiodothyronine as well as the storage of the inactive forms of thyroid hormone and iodine. Thyroglobulin is secreted from the endoplasmic reticulum to its site of iodination, and subsequent thyroxine biosynthesis, in the follicular lumen. Mutations in this gene cause thyroid dyshormonogenesis, manifested as goiter, and are associated with moderate to severe congenital hypothyroidism. Polymorphisms in this gene are associated with susceptibility to autoimmune thyroid diseases (AITD) such as Graves disease and Hashimoto thryoiditis.
Purification Method
Affinity purification
Gene ID
7038
RRID
AB_2863053
Buffer Information
Store at -20℃. Avoid freeze / thaw cycles. Buffer: PBS containing 50% glycerol and 0.05% BSA, preserved with proclin300 or sodium azide, pH 7.3.
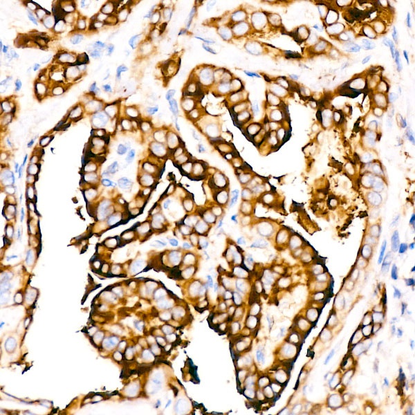
Immunohistochemistry analysis of paraffin-embedded Human thyroid cancer using Thyroglobulin Rabbit mAb (CAB3407) at dilution of 1:100 (40x lens). High pressure antigen retrieval performed with 0.01M Citrate buffer (pH 6.0) prior to IHC staining.
Immunofluorescence analysis of paraffin-embedded rat thyroid using Thyroglobulin Rabbit mAb (CAB3407) at dilution of 1:100 (40x lens). Secondary antibody: Cy3-conjugated Goat anti-Rabbit IgG (H+L) (CABS007) at 1:500 dilution. Blue: DAPI for nuclear staining.
Immunofluorescence analysis of paraffin-embedded mouse thyroid using Thyroglobulin Rabbit mAb (CAB3407) at dilution of 1:100 (40x lens). Secondary antibody: Cy3-conjugated Goat anti-Rabbit IgG (H+L) (CABS007) at 1:500 dilution. Blue: DAPI for nuclear staining.