The Thyroid Peroxidase Monoclonal Antibody (CAB19547) is a high-quality antibody developed for reliable detection and analysis of target proteins. This polyclonal antibody, raised in rabbits, is highly specific and reactive to human samples, making it ideal for various immunological studies.Thyroid peroxidase is essential for thyroid hormone production and is a key target in autoimmune thyroid diseases such as Hashimoto's thyroiditis and Graves' disease. The Anti-Thyroid Peroxidase Antibody (CAB19547) enables the detection and analysis of thyroid peroxidase levels, allowing researchers to study its role in thyroid function and dysfunction.
This antibody is validated for use in IHC-P, ELISA applications and has demonstrated reactivity against Human, Mouse, Rat samples.
Product Name:
Thyroid Peroxidase Monoclonal Antibody
SKU:
CAB19547
Size:
20μL, 100μL
Reactivity:
Human, Mouse, Rat
Clone Number:
ARC2170
Conjugate:
Unconjugated
Immunogen:
Synthetic peptide. This information is considered to be commercially sensitive.
This gene encodes a membrane-bound glycoprotein. The encoded protein acts as an enzyme and plays a central role in thyroid gland function. The protein functions in the iodination of tyrosine residues in thyroglobulin and phenoxy-ester formation between pairs of iodinated tyrosines to generate the thyroid hormones, thyroxine and triiodothyronine. Mutations in this gene are associated with several disorders of thyroid hormonogenesis, including congenital hypothyroidism, congenital goiter, and thyroid hormone organification defect IIA. Multiple transcript variants encoding distinct isoforms have been identified for this gene, but the full-length nature of some variants has not been determined.
Purification Method
Affinity purification
Gene ID
7173
Buffer Information
Store at -20℃. Avoid freeze / thaw cycles. Buffer: PBS containing 50% glycerol and 0.05% BSA, preserved with proclin300 or sodium azide, pH 7.3.
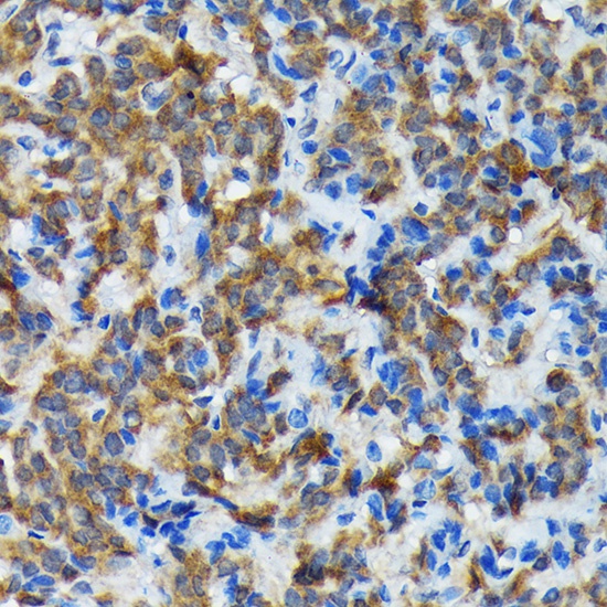
Immunohistochemistry analysis of paraffin-embedded Human thyroid cancer using Thyroid Peroxidase Rabbit mAb (CAB19547) at dilution of 1:100 (40x lens). Microwave antigen retrieval performed with 0.01M Tris/EDTA Buffer (pH 9.0) prior to IHC staining.
Immunohistochemistry analysis of paraffin-embedded Mouse thyroid using Thyroid Peroxidase Rabbit mAb (CAB19547) at dilution of 1:100 (40x lens). Microwave antigen retrieval performed with 0.01M Tris/EDTA Buffer (pH 9.0) prior to IHC staining.