The Trefoil Factor 3 Monoclonal Antibody (CAB4592) is a high-quality antibody developed for reliable detection and analysis of target proteins. This antibody, generated in rabbits, has high specificity for human samples and has been validated for use in various applications, including Western blotting.Trefoil Factor 3, also known as TFF3, is known for its role in promoting mucosal healing and protecting the gastrointestinal tract from damage. Its expression is often dysregulated in various diseases, making it a potential therapeutic target for conditions such as inflammatory bowel disease and gastric cancer.
This antibody is validated for use in IHC-P, ELISA applications and has demonstrated reactivity against Human samples.
Product Name:
Trefoil Factor 3 Monoclonal Antibody
SKU:
CAB4592
Size:
20μL, 100μL
Reactivity:
Human
Clone Number:
ARC2664
Conjugate:
Unconjugated
Immunogen:
Synthetic peptide. This information is considered to be commercially sensitive.
Recommended starting concentration is 1 μg/mL. Please optimize the concentration based on your specific assay requirements.
Synonyms:
ITF, P1B, TFI, TFF3
Cellular Localization:
Extracellular Region, Extracellular Space.
Calculated MW:
9kDa
Members of the trefoil family are characterized by having at least one copy of the trefoil motif, a 40-amino acid domain that contains three conserved disulfides. They are stable secretory proteins expressed in gastrointestinal mucosa. Their functions are not defined, but they may protect the mucosa from insults, stabilize the mucus layer and affect healing of the epithelium. This gene is expressed in goblet cells of the intestines and colon. This gene and two other related trefoil family member genes are found in a cluster on chromosome 21.
Purification Method
Affinity purification
Gene ID
7033
Buffer Information
Store at -20℃. Avoid freeze / thaw cycles. Buffer: PBS containing 50% glycerol and 0.05% BSA, preserved with proclin300 or sodium azide, pH 7.3.
Immunohistochemistry analysis of paraffin-embedded Human appendix using TFF3 Rabbit mAb (CAB4592) at dilution of 1:100 (40x lens). High pressure antigen retrieval performed with 0.01M Tris/EDTA Buffer (pH 9.0) prior to IHC staining.
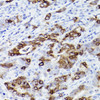
Immunohistochemistry analysis of paraffin-embedded Human colon carcinoma using TFF3 Rabbit mAb (CAB4592) at dilution of 1:100 (40x lens). High pressure antigen retrieval performed with 0.01M Tris/EDTA Buffer (pH 9.0) prior to IHC staining.