The APOO Polyclonal Antibody (PAC064147) is a valuable tool for researchers studying the APOO protein, an essential component of the mitochondrial membrane involved in lipid metabolism and cellular respiration. This antibody, produced in rabbits, is highly specific to human samples and has been verified for use in Western blot and immunofluorescence applications.APOO, also known as Apolipoprotein O, plays a crucial role in maintaining lipid homeostasis and energy production within the mitochondria. Dysregulation of APOO has been linked to metabolic disorders and mitochondrial dysfunction, making it a key target for research in areas such as diabetes, obesity, and cardiovascular disease.
By utilizing the APOO Polyclonal Antibody, researchers can accurately detect and quantify APOO levels in various cell types and tissues, allowing for a better understanding of its function and potential implications in disease pathology. This antibody is a valuable tool for investigations into mitochondrial function, lipid metabolism, and metabolic diseases.
Antibody Name:
APOO Antibody (PACO64147)
Antibody SKU:
PACO64147
Size:
50ul
Host Species:
Rabbit
Tested Applications:
ELISA, IHC
Recommended Dilutions:
IHC:1:200-1:500
Species Reactivity:
Human
Immunogen:
Recombinant Human MICOS complex subunit MIC26 protein (26-198AA)
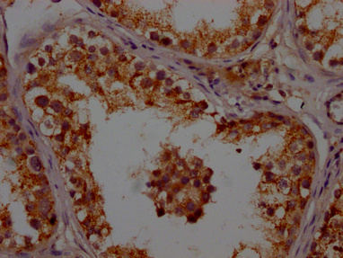
IHC image of PACO64147 diluted at 1:200 and staining in paraffin-embedded human testis tissue performed on a Leica BondTM system. After dewaxing and hydration, antigen retrieval was mediated by high pressure in a citrate buffer (pH 6.0). Section was blocked with 10% normal goat serum 30min at RT. Then primary antibody (1% BSA) was incubated at 4°C overnight. The primary is detected by a Goat anti-rabbit polymer IgG labeled by HRP and visualized using 0.05% DAB.
Background:
Component of the MICOS complex, a large protein complex of the mitochondrial inner membrane that plays crucial roles in the maintenance of crista junctions, inner membrane architecture, and formation of contact sites to the outer membrane. Plays a crucial role in crista junction formation and mitochondrial function. Can promote cardiac lipotoxicity by enhancing mitochondrial respiration and fatty acid, metabolism in cardiac myoblasts. Promotes cholesterol efflux from macrophage cells. Detected in HDL, LDL and VLDL. Secreted by a microsomal triglyceride transfer protein (MTTP)-dependent mechanism, probably as a VLDL-associated protein that is subsequently transferred to HDL.
APOO: Promotes cholesterol efflux from macrophage cells. Detected in HDL, LDL and VLDL. Secreted by a microsomal triglyceride transfer protein (MTTP)-dependent mechanism, probably as a VLDL-associated protein that is subsequently transferred to HDL. May be involved in myocardium-protective mechanisms against lipid accumulation. Belongs to the apolipoprotein O family. 2 isoforms of the human protein are produced by alternative splicing.Protein type: Membrane protein, integralChromosomal Location of Human Ortholog: Xp22.11Cellular Component: extracellular space; mitochondrion; integral to membraneBiological Process: lipid transport
UniProt Protein Details:
NCBI Summary:
This gene is a member of the apolipoprotein family. Members of this protein family are involved in the transport and metabolism of lipids. The encoded protein associates with HDL, LDL and VLDL lipoproteins and is characterized by chondroitin-sulfate glycosylation. This protein may be involved in preventing lipid accumulation in the myocardium in obese and diabetic patients. Alternative splicing results in multiple transcript variants. Pseudogenes of this gene are found on chromosomes 3, 4, 5, 12 and 16.[provided by RefSeq, Sep 2009]