The Aquaporin-1 (AQP1) Antibody (CAB15030) is a high-quality antibody developed for reliable detection and analysis of target proteins. This antibody, generated in rabbits, exhibits high specificity and reactivity with human samples, making it suitable for applications such as Western blot and immunohistochemistry.AQP1 is known for its role in facilitating water transport across cell membranes, particularly in tissues such as kidneys, lungs, and red blood cells. Dysregulation of AQP1 has been linked to various diseases, including kidney disorders, hypertension, and cancer.
This antibody is validated for use in WB, IHC-P, ELISA, IF-P applications and has demonstrated reactivity against Human, Mouse, Rat samples.
Product Name:
Aquaporin-1 (AQP1) Antibody
SKU:
CAB15030
Size:
20μL, 100μL
Reactivity:
Human, Mouse, Rat
Conjugate:
Unconjugated
Immunogen:
Synthetic peptide. This information is considered to be commercially sensitive.
Recommended starting concentration is 1 μg/mL. Please optimize the concentration based on your specific assay requirements.
Synonyms:
CO, CHIP28, AQP-CHIP, Aquaporin-1 (AQP1)
Positive Sample:
Mouse liver, Mouse heart, Rat lung
Cellular Localization:
Cell Membrane, Multi-Pass Membrane Protein.
Calculated MW:
29kDa
Observed MW:
25kDa
This gene encodes a small integral membrane protein with six bilayer spanning domains that functions as a water channel protein. This protein permits passive transport of water along an osmotic gradient. This gene is a possible candidate for disorders involving imbalance in ocular fluid movement.
Purification Method
Affinity purification
Gene ID
358
RRID
AB_2761910
Buffer Information
Store at -20℃. Avoid freeze / thaw cycles. Buffer: PBS containing 50% glycerol, preserved with proclin300 or sodium azide, pH 7.3.
Western blot analysis of various lysates using Aquaporin-1 (AQP1) Rabbit pAb (CAB15030) at 1:500 dilution. Secondary antibody: HRP-conjugated Goat anti-Rabbit IgG (H+L) (CABS014) at 1:10000 dilution. Lysates/proteins: 25μg per lane. Blocking buffer: 3% nonfat dry milk in TBST. Detection: ECL Basic Kit (AbGn00020). Exposure time: 180s.
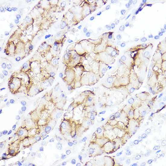
Immunohistochemistry analysis of paraffin-embedded Human kidney using Aquaporin-1 (AQP1) Rabbit pAb (CAB15030) at dilution of 1:100 (40x lens). High pressure antigen retrieval performed with 0.01M Citrate buffer (pH 6.0) prior to IHC staining.
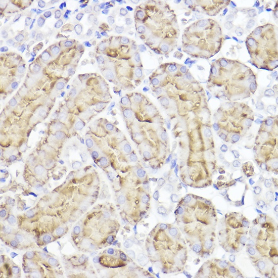
Immunohistochemistry analysis of paraffin-embedded Rat kidney using Aquaporin-1 (AQP1) Rabbit pAb (CAB15030) at dilution of 1:100 (40x lens). High pressure antigen retrieval performed with 0.01M Citrate buffer (pH 6.0) prior to IHC staining.
Immunofluorescence analysis of paraffin-embedded rat kidney using Aquaporin-1 (AQP1) Rabbit pAb (CAB15030) at dilution of 1:100 (40x lens). Secondary antibody: Cy3-conjugated Goat anti-Rabbit IgG (H+L) (CABS007) at 1:500 dilution. Blue: DAPI for nuclear staining.