ARHGAP42 Antibody is a premium polyclonal that offers outstanding performance and reliability for demanding research applications. Rigorously validated for ELISA, WB, IHC, this antibody ensures consistent, reproducible results across multiple experimental platforms. Demonstrates excellent reactivity with Human samples, providing researchers with confidence in cross-species compatibility. Conveniently packaged in 50ug format to meet your experimental needs. For optimal performance, store at -20°C or -80°C and maintains stability for 12 months. Backed by rigorous quality control testing to ensure superior performance in your critical research applications.
Product Name:
ARHGAP42 Antibody
SKU:
PACO46458
Size:
50μg
Isotype:
IgG
Host Species:
Rabbit
Reactivity:
Human
Immunogen:
Recombinant Human Rho GTPase-activating protein 42 protein (541-728AA)
Immunogen Species:
Homo sapiens (Human)
Uniprot No:
A6NI28
Form:
Liquid
Tested Applications:
ELISAWBIHC
Recommended Dilution:
Application
Recommended Dilution
WB
1:2000-1:10000
IHC
1:20-1:200
Synonyms:
ARHGAP42 antibody, GRAF3 antibody, TMEM133 antibody, Rho GTPase-activating protein 42 antibody, Rho GTPase-activating protein 10-like antibody, Rho-type GTPase-activating protein 42 antibody
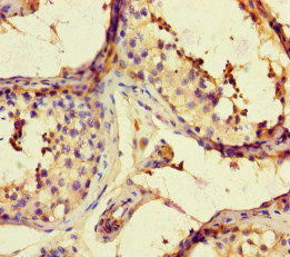
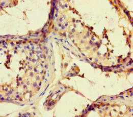
Immunohistochemistry of paraffin-embedded human testis tissue using PACO46458 at dilution of 1:100
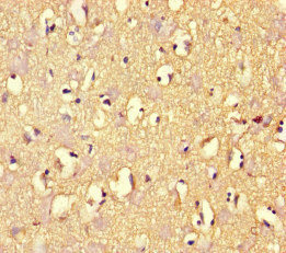
Immunohistochemistry of paraffin-embedded human brain tissue using PACO46458 at dilution of 1:100
Western Blot Positive WB detected in: Human placenta tissue All lanes: ARHGAP42 antibody at 2.8µg/ml Secondary Goat polyclonal to rabbit IgG at 1/50000 dilution Predicted band size: 99 kDa Observed band size: 99 kDa