ARPIN Antibody is a premium polyclonal that offers outstanding performance and reliability for demanding research applications. Rigorously validated for ELISA, WB, IHC, this antibody ensures consistent, reproducible results across multiple experimental platforms. Demonstrates excellent reactivity with Human samples, providing researchers with confidence in cross-species compatibility. Conveniently packaged in 50ug format to meet your experimental needs. For optimal performance, store at -20°C or -80°C and maintains stability for 12 months. Backed by rigorous quality control testing to ensure superior performance in your critical research applications.
Product Name:
ARPIN Antibody
SKU:
PACO37454
Size:
50μg
Isotype:
IgG
Host Species:
Rabbit
Reactivity:
Human
Immunogen:
Recombinant Human Arpin protein (1-226AA)
Immunogen Species:
Homo sapiens (Human)
Uniprot No:
Q7Z6K5
Form:
Liquid
Tested Applications:
ELISAWBIHC
Recommended Dilution:
Application
Recommended Dilution
WB
1:1000-1:5000
IHC
1:20-1:200
Synonyms:
2610034B18Rik antibody, Actin related protein 2/3 complex inhibitor antibody, Arp2/3 inhibition protein antibody, ARPIN antibody, C15orf38 antibody, Chromosome 15 open reading frame 38 antibody, CO038_HUMAN antibody, Hypothetical protein LOC348110 antibody, MGC61550 antibody, RIKEN cDNA 2610034B18 antibody, UPF0552 protein C15orf38 antibody
Western blot All lanes: ARPIN antibody at 0.5µg/ml + HepG2 whole cell lysate Secondary Goat polyclonal to rabbit IgG at 1/10000 dilution Predicted band size: 25, 44 kDa Observed band size: 25 kDa
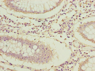
Immunohistochemistry of paraffin-embedded human colon cancer using PACO37454 at dilution of 1:100
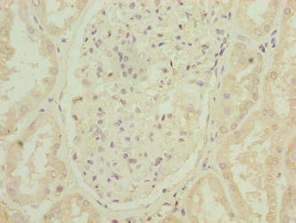
Immunohistochemistry of paraffin-embedded human kidney tissue using PACO37454 at dilution of 1:100