The ASNS Antibody (CAB16035) is a high-quality antibody developed for reliable detection and analysis of target proteins. This antibody, produced in rabbits, exhibits high reactivity with human samples and has been validated for use in Western blot applications. By specifically targeting the ASNS protein, researchers can accurately detect and analyze its expression in various cell types, making it an invaluable tool for studies in biochemistry and molecular biology.ASNS, known as asparagine synthetase, is essential for the biosynthesis of asparagine, a non-essential amino acid with important roles in protein synthesis and cellular functioning.
This antibody is validated for use in WB, IHC-P, ELISA applications and has demonstrated reactivity against Human, Mouse, Rat samples.
Product Name:
ASNS Antibody
SKU:
CAB16035
Size:
20μL, 100μL
Reactivity:
Human, Mouse, Rat
Conjugate:
Unconjugated
Immunogen:
Recombinant protein (or fragment).This information is considered to be commercially sensitive.
Recommended starting concentration is 1 μg/mL. Please optimize the concentration based on your specific assay requirements.
Synonyms:
TS11, ASNSD, ASNS
Positive Sample:
SGC-7901, U-87MG, Mouse brain, Mouse pancreas, Mouse spleen, Rat testis
Cellular Localization:
Cytosol.
Calculated MW:
64kDa
Observed MW:
55,64kDa
The protein encoded by this gene is involved in the synthesis of asparagine. This gene complements a mutation in the temperature-sensitive hamster mutant ts11, which blocks progression through the G1 phase of the cell cycle at nonpermissive temperature. Alternatively spliced transcript variants have been described for this gene.
Purification Method
Affinity purification
Gene ID
440
RRID
AB_2763473
Buffer Information
Store at -20℃. Avoid freeze / thaw cycles. Buffer: PBS with 0.01% thimerosal,50% glycerol,pH7.3.
Western blot analysis of various lysates using ASNS Rabbit pAb (CAB16035) at 1:1000 dilution. Secondary antibody: HRP-conjugated Goat anti-Rabbit IgG (H+L) (CABS014) at 1:10000 dilution. Lysates/proteins: 25μg per lane. Blocking buffer: 3% nonfat dry milk in TBST. Detection: ECL Basic Kit (AbGn00020). Exposure time: 3s.
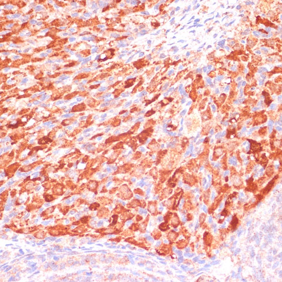
Immunohistochemistry analysis of paraffin-embedded Rat ovary using ASNS Rabbit pAb (CAB16035) at dilution of 1:100 (40x lens). Microwave antigen retrieval performed with 0.01M PBS Buffer (pH 7.2) prior to IHC staining.