null
100% Quality Guarantee
PhD-Level Technical Support
Key Features

ATPB Rabbit Monoclonal Antibody (CAB11214)

SKU CAB11214
Product Type Antibody
Antibody Type Monoclonal Antibody
Reactivity Human, Mouse, Rat
Host Species Rabbit
Synonyms ATP5B, ATPMB, ATPSB, HUMOP2, HEL-S-271, ATPB
Research Use Metabolism
€131 - €457
Global Shipping: 80+ Countries
White Glove Service: Available upon request
Batch Consistency: Contact Sales
Distributors: 60+ Countries

Description

system_update_altDatasheetsystem_update_altMSDS

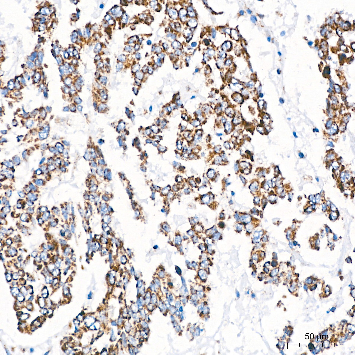
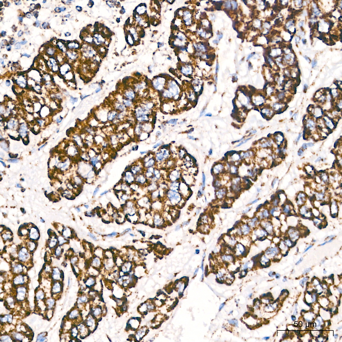
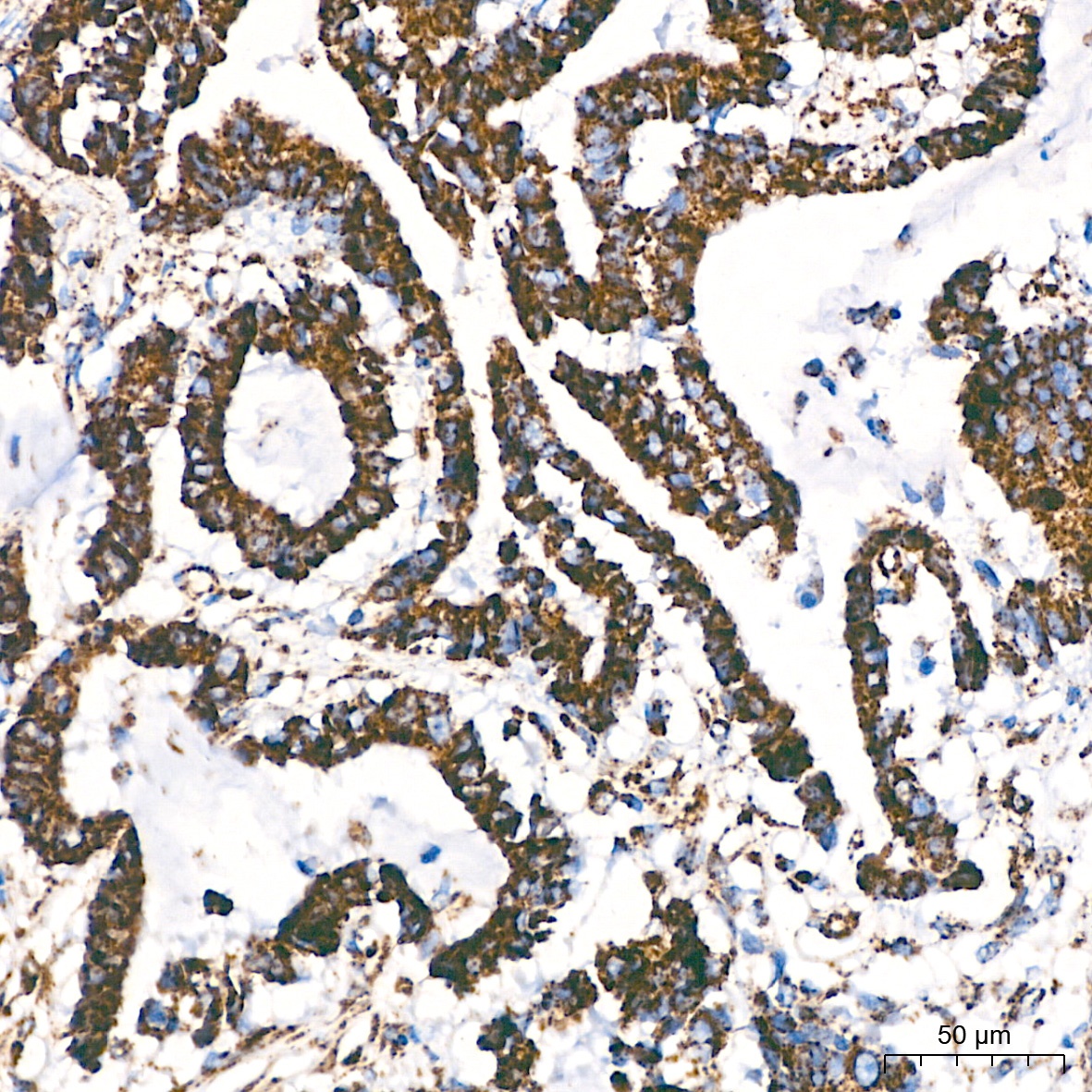
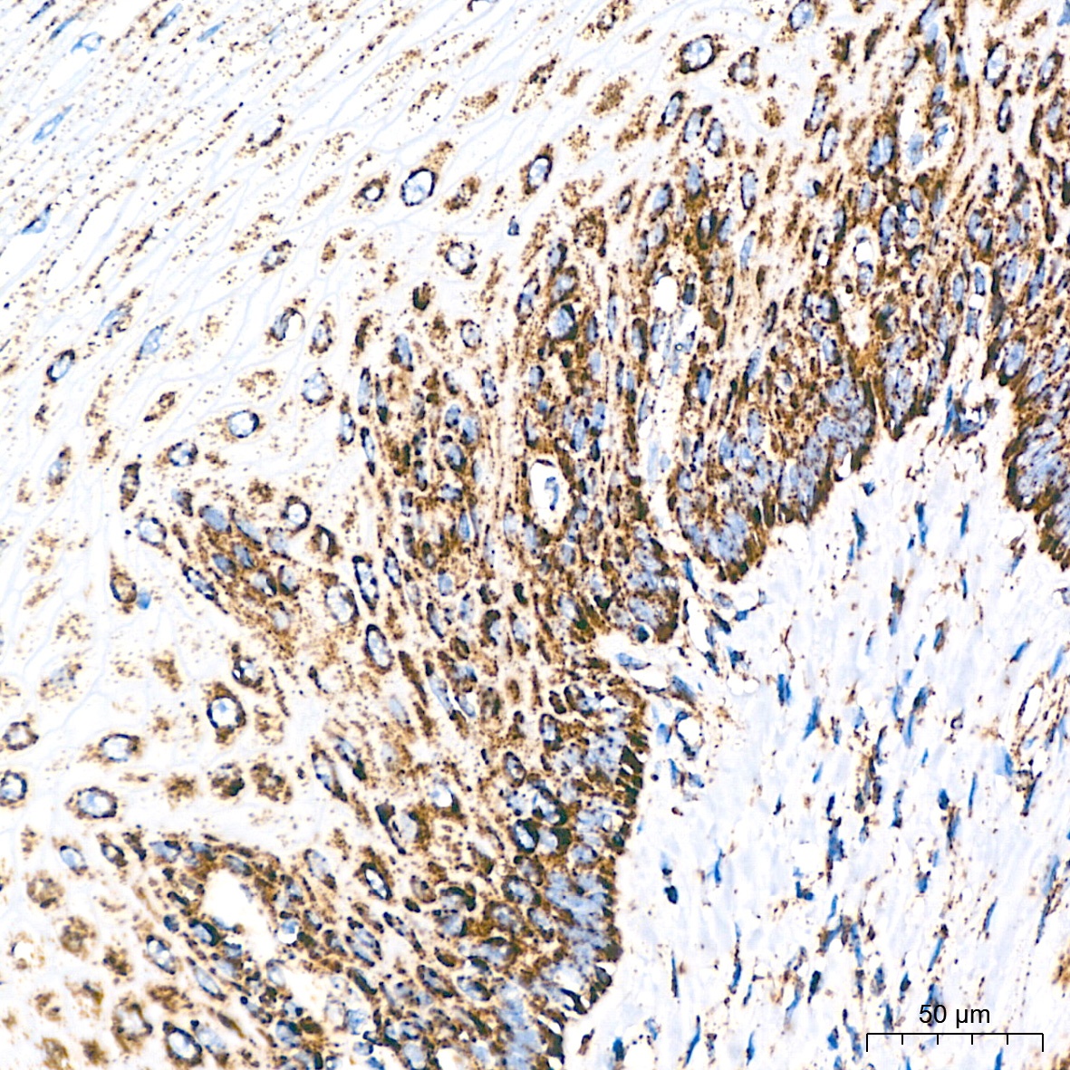
ATPB Monoclonal Antibody (CAB11214)

The ATPB Monoclonal Antibody (CAB11214) is a high-quality antibody developed for reliable detection and analysis of target proteins. This antibody, produced using rabbit-derived monoclonal technology, exhibits high specificity and sensitivity towards ATPB in a variety of experimental settings.ATPB, also known as ATP synthase subunit beta, plays a key role in ATP production through oxidative phosphorylation in the mitochondria. Dysregulation of ATPB expression or function can have profound effects on cellular energy metabolism, making it a crucial target for investigation in studies related to metabolism, aging, and various diseases.Validated for use in techniques such as immunohistochemistry and immunofluorescence, the ATPB Rabbit Monoclonal Antibody enables precise detection and visualization of ATPB localization within cells and tissues.

This antibody is validated for use in WB, IHC-P, IF/ICC, ELISA applications and has demonstrated reactivity against Human, Mouse, Rat samples.

0 Reviews

0
Based on 0 reviews

No reviews yet. Be the first to share your experience!

View AllClose