The ATXN7L3 Polyclonal Antibody (PAC035314) is a valuable tool for researchers studying ATXN7L3, a protein involved in transcriptional regulation and chromatin remodeling. This antibody, produced in a rabbit host, demonstrates high specificity and sensitivity when used in Western blot applications, particularly in detecting the ATXN7L3 protein in human samples.With its ability to bind to ATXN7L3, this antibody enables researchers to investigate the functions and interactions of this protein in various cellular contexts.
ATXN7L3 is known to be involved in gene expression regulation and has been implicated in diseases such as neurodegenerative disorders and cancer, making it a promising target for therapeutic intervention.By utilizing the ATXN7L3 Polyclonal Antibody in their studies, researchers can gain valuable insights into the roles of ATXN7L3 in cellular processes and disease pathogenesis, ultimately driving advances in the fields of molecular biology and biomedicine.
Antibody Name:
ATXN7L3 Antibody (PACO35314)
Antibody SKU:
PACO35314
Size:
50ug
Host Species:
Rabbit
Tested Applications:
ELISA, IHC
Recommended Dilutions:
ELISA:1:2000-1:10000, IHC:1:20-1:200
Species Reactivity:
Human
Immunogen:
Recombinant Human Ataxin-7-like protein 3 protein (51-347AA)
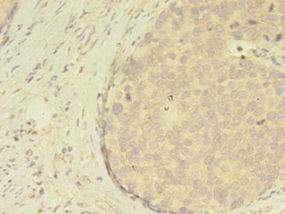
Immunohistochemistry of paraffin-embedded human gastric cancer using PACO35314 at dilution of 1:100.
Background:
Component of the transcription regulatory histone acetylation (HAT) complex SAGA, a multiprotein complex that activates transcription by remodeling chromatin and mediating histone acetylation and deubiquitination. Within the SAGA complex, participates in a subcomplex that specifically deubiquitinates both histones H2A and H2B. The SAGA complex is recruited to specific gene promoters by activators such as MYC, where it is required for transcription. Required for nuclear receptor-mediated transactivation. Within the complex, it is required to recruit USP22 and ENY2 into the SAGA complex.
Synonyms:
Ataxin-7-like protein 3 (SAGA-associated factor 11 homolog), ATXN7L3
UniProt Protein Function:
Component of the transcription regulatory histone acetylation (HAT) complex SAGA, a multiprotein complex that activates transcription by remodeling chromatin and mediating histone acetylation and deubiquitination. Within the SAGA complex, participates in a subcomplex that specifically deubiquitinates both histones H2A and H2B (PubMed:18206972, PubMed:21746879). The SAGA complex is recruited to specific gene promoters by activators such as MYC, where it is required for transcription. Required for nuclear receptor-mediated transactivation. Within the complex, it is required to recruit USP22 and ENY2 into the SAGA complex (PubMed:18206972). Regulates H2B monoubiquitination (H2Bub1) levels. Affects subcellular distribution of ENY2, USP22 and ATXN7L3B (PubMed:27601583).