The BAG3 Monoclonal Antibody (CAB4720) is a high-quality antibody developed for reliable detection and analysis of target proteins. This antibody, produced in rabbits, is highly specific to human samples and has been validated for use in Western blotting, immunohistochemistry, and immunofluorescence applications.BAG3 is known for its role in regulating protein quality control and cell stress response, making it a key player in diseases like cancer, neurodegenerative disorders, and heart disease.
This antibody is validated for use in WB, IHC-P, ELISA applications and has demonstrated reactivity against Human, Mouse samples.
Product Name:
BAG3 Monoclonal Antibody
SKU:
CAB4720
Size:
20μL, 100μL
Reactivity:
Human, Mouse
Clone Number:
ARC1104
Conjugate:
Unconjugated
Immunogen:
Synthetic peptide. This information is considered to be commercially sensitive.
Recommended starting concentration is 1 μg/mL. Please optimize the concentration based on your specific assay requirements.
Synonyms:
BIS, MFM6, BAG-3, CAIR-1, BAG3
Positive Sample:
HeLa, K-562, U-251MG
Cellular Localization:
Cytoplasm, Cytosol, Nucleus, Z Disc.
Calculated MW:
62kDa
Observed MW:
80kDa
BAG proteins compete with Hip for binding to the Hsc70/Hsp70 ATPase domain and promote substrate release. All the BAG proteins have an approximately 45-amino acid BAG domain near the C terminus but differ markedly in their N-terminal regions. The protein encoded by this gene contains a WW domain in the N-terminal region and a BAG domain in the C-terminal region. The BAG domains of BAG1, BAG2, and BAG3 interact specifically with the Hsc70 ATPase domain in vitro and in mammalian cells. All 3 proteins bind with high affinity to the ATPase domain of Hsc70 and inhibit its chaperone activity in a Hip-repressible manner.
Purification Method
Affinity purification
Gene ID
9531
RRID
AB_2863331
Buffer Information
Store at -20℃. Avoid freeze / thaw cycles. Buffer: PBS containing 50% glycerol and 0.05% BSA, preserved with proclin300 or sodium azide, pH 7.3.
Western blot analysis of various lysates using BAG3 Rabbit mAb (CAB4720) at 1:1000 dilution. Secondary antibody: HRP-conjugated Goat anti-Rabbit IgG (H+L) (CABS014) at 1:10000 dilution. Lysates/proteins: 25μg per lane. Blocking buffer: 3% nonfat dry milk in TBST. Detection: ECL Basic Kit (AbGn00020). Exposure time: 30s.
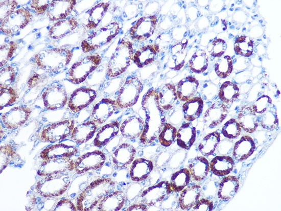
Immunohistochemistry analysis of paraffin-embedded Mouse kidney using BAG3 Rabbit mAb (CAB4720) at dilution of 1:100 (40x lens). Microwave antigen retrieval performed with 0.01M PBS Buffer (pH 7.2) prior to IHC staining.