The BAG5 Antibody (CAB5794) is a high-quality antibody developed for reliable detection and analysis of target proteins. This antibody, produced in rabbits, demonstrates high specificity and sensitivity when used in Western blotting applications with human samples. By binding to the BAG5 protein, researchers can accurately detect and analyze its expression in various cell types, making it an ideal choice for investigations in cell biology and cancer research.BAG5, also known as Bcl-2-associated athanogene 5, plays a crucial role in controlling cellular stress responses and promoting cell survival.
This antibody is validated for use in WB, IHC-P, ELISA applications and has demonstrated reactivity against Human, Mouse, Rat samples.
Product Name:
BAG5 Antibody
SKU:
CAB5794
Size:
20μL, 100μL
Reactivity:
Human, Mouse, Rat
Conjugate:
Unconjugated
Immunogen:
Recombinant protein (or fragment).This information is considered to be commercially sensitive.
Recommended starting concentration is 1 μg/mL. Please optimize the concentration based on your specific assay requirements.
Synonyms:
BAG-5, CMD2F, BAG5
Positive Sample:
SH-SY5Y, MCF7, Mouse lung, Mouse testis, Rat brain, Rat lung
Cellular Localization:
Cytosol, Mitochondrion, Nucleus, Perinuclear Region Of Cytoplasm.
Calculated MW:
51kDa
Observed MW:
51kDa
The protein encoded by this gene is a member of the BAG1-related protein family. BAG1 is an anti-apoptotic protein that functions through interactions with a variety of cell apoptosis and growth related proteins including BCL-2, Raf-protein kinase, steroid hormone receptors, growth factor receptors and members of the heat shock protein 70 kDa family. This protein contains a BAG domain near the C-terminus, which could bind and inhibit the chaperone activity of Hsc70/Hsp70. Three transcript variants encoding two different isoforms have been found for this gene.
Purification Method
Affinity purification
Gene ID
9529
RRID
AB_2766546
Buffer Information
Store at -20℃. Avoid freeze / thaw cycles. Buffer: PBS containing 50% glycerol, preserved with proclin300 or sodium azide, pH 7.3.
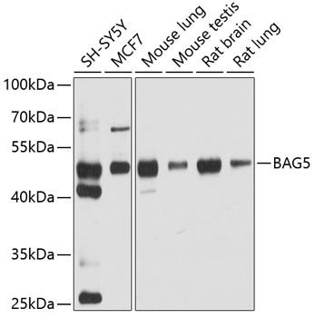
Western blot analysis of various lysates using BAG5 Rabbit pAb (CAB5794) at 1:1000 dilution. Secondary antibody: HRP-conjugated Goat anti-Rabbit IgG (H+L) (CABS014) at 1:10000 dilution. Lysates/proteins: 25μg per lane. Blocking buffer: 3% nonfat dry milk in TBST. Detection: ECL Enhanced Kit (AbGn00021). Exposure time: 90s.
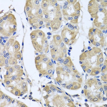
Immunohistochemistry analysis of paraffin-embedded Human stomach using BAG5 Rabbit pAb (CAB5794) at dilution of 1:100 (40x lens). Microwave antigen retrieval performed with 0.01M PBS Buffer (pH 7.2) prior to IHC staining.