The BAZ2A Antibody (CAB17630) is a high-quality antibody developed for reliable detection and analysis of target proteins. This antibody, raised in rabbits, has high reactivity with human samples and is validated for use in Western blot and immunofluorescence applications. By binding to the BAZ2A protein, this antibody enables precise detection and analysis in various cell types, making it ideal for studies in epigenetics and cancer research.BAZ2A, also known as bromo adjacent homology domain-containing protein, plays a crucial role in modulating gene expression by influencing chromatin structure and transcriptional regulation.
This antibody is validated for use in WB, IHC-P, IF/ICC, ELISA applications and has demonstrated reactivity against Human, Mouse, Rat samples.
Product Name:
BAZ2A Antibody
SKU:
CAB17630
Size:
20μL, 100μL
Reactivity:
Human, Mouse, Rat
Conjugate:
Unconjugated
Immunogen:
Recombinant protein (or fragment).This information is considered to be commercially sensitive.
Recommended starting concentration is 1 μg/mL. Please optimize the concentration based on your specific assay requirements.
Synonyms:
TIP5, WALp3, BAZ2A
Positive Sample:
K-562, NIH/3T3
Cellular Localization:
Cytosol, Nuclear Speck, Nucleolus.
Calculated MW:
211kDa
Observed MW:
280-310kDa
Enables histone binding activity. Contributes to RNA polymerase I core promoter sequence-specific DNA binding activity. Predicted to be involved in DNA methylation; histone deacetylation; and negative regulation of macromolecule metabolic process. Predicted to act upstream of or within chromatin organization and histone modification. Located in cytosol and nuclear speck.
Purification Method
Affinity purification
Gene ID
11176
RRID
AB_2768565
Buffer Information
Store at -20℃. Avoid freeze / thaw cycles. Buffer: PBS with 0.01% thimerosal,50% glycerol,pH7.3.
Western blot analysis of various lysates using BAZ2A Rabbit pAb (CAB17630) at 1:1000 dilution. Secondary antibody: HRP-conjugated Goat anti-Rabbit IgG (H+L) (CABS014) at 1:10000 dilution. Lysates/proteins: 25μg per lane. Blocking buffer: 3% nonfat dry milk in TBST. Detection: ECL Basic Kit (AbGn00020). Exposure time: 180s.
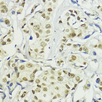
Immunohistochemistry analysis of paraffin-embedded Human mammary cancer using BAZ2A Rabbit pAb (CAB17630) at dilution of 1:200 (40x lens). Microwave antigen retrieval performed with 0.01M PBS Buffer (pH 7.2) prior to IHC staining.
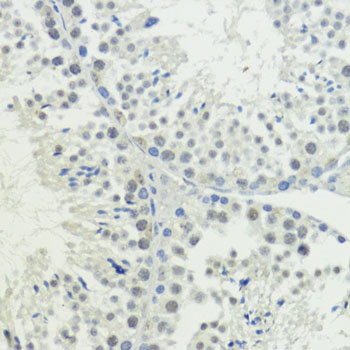
Immunohistochemistry analysis of paraffin-embedded Mouse testis using BAZ2A Rabbit pAb (CAB17630) at dilution of 1:200 (40x lens). Microwave antigen retrieval performed with 0.01M PBS Buffer (pH 7.2) prior to IHC staining.
Immunofluorescence analysis of U-2 OS cells using BAZ2A Rabbit pAb (CAB17630) at dilution of 1:100. Secondary antibody: Cy3-conjugated Goat anti-Rabbit IgG (H+L) (CABS007) at 1:500 dilution. Blue: DAPI for nuclear staining.