The BCAS2 Antibody (CAB4398) is a high-quality antibody developed for reliable detection and analysis of target proteins. This antibody, raised in rabbits, exhibits high reactivity with human samples and has been validated for use in Western blot applications. By targeting the BCAS2 protein, this antibody enables the detection and analysis of BCAS2 expression in various cell types, making it an essential component for studies in cancer research.BCAS2, also known as breast carcinoma amplified sequence 2, is a key player in the molecular mechanisms underlying breast cancer progression and metastasis.
This antibody is validated for use in WB, IHC-P, IF/ICC, ELISA applications and has demonstrated reactivity against Human, Mouse, Rat samples.
Product Name:
BCAS2 Antibody
SKU:
CAB4398
Size:
20μL, 100μL
Reactivity:
Human, Mouse, Rat
Conjugate:
Unconjugated
Immunogen:
Recombinant protein (or fragment).This information is considered to be commercially sensitive.
Involved in mRNA splicing, via spliceosome. Located in centrosome and nuclear speck. Part of U2-type catalytic step 2 spliceosome. Colocalizes with DNA replication factor A complex. Implicated in breast cancer.
Purification Method
Affinity purification
Gene ID
10286
RRID
AB_2765658
Buffer Information
Store at -20℃. Avoid freeze / thaw cycles. Buffer: PBS containing 50% glycerol, preserved with proclin300 or sodium azide, pH 7.3.
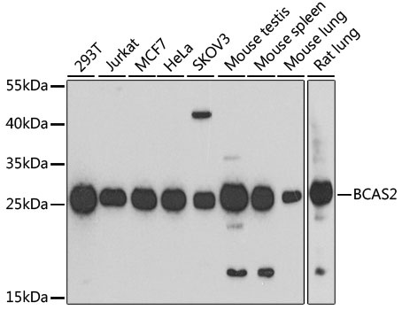
Western blot analysis of various lysates using BCAS2 Rabbit pAb (CAB4398) at 1:1000 dilution. Secondary antibody: HRP-conjugated Goat anti-Rabbit IgG (H+L) (CABS014) at 1:10000 dilution. Lysates/proteins: 25μg per lane. Blocking buffer: 3% nonfat dry milk in TBST. Detection: ECL Basic Kit (AbGn00020). Exposure time: 90s.
Immunohistochemistry analysis of paraffin-embedded Rat kidney using BCAS2 Rabbit pAb (CAB4398) at dilution of 1:100 (40x lens). High pressure antigen retrieval performed with 0.01M Citrate buffer (pH 6.0) prior to IHC staining.
Immunohistochemistry analysis of paraffin-embedded Mouse brain using BCAS2 Rabbit pAb (CAB4398) at dilution of 1:100 (40x lens). High pressure antigen retrieval performed with 0.01M Citrate buffer (pH 6.0) prior to IHC staining.
Confocal immunofluorescence analysis of U2OS cells using BCAS2 Rabbit pAb (CAB4398) at dilution of 1:100. Blue: DAPI for nuclear staining.