The Bcl-2 Polyclonal Antibody (CAB11025) is a high-quality antibody developed for reliable detection and analysis of target proteins. This antibody is raised in rabbits and exhibits high reactivity with human samples, making it ideal for use in Western blot applications. By binding to the Bcl-2 protein, this antibody enables researchers to detect and analyze the expression levels of Bcl-2 in various cell types.Bcl-2 is a critical protein involved in the regulation of programmed cell death, making it a significant target for studies in oncology and cell biology. Dysregulation of Bcl-2 expression has been implicated in various diseases, including cancer, making it an important marker for disease prognosis and potential therapeutic strategies.
This antibody is validated for use in WB, IHC-P, IF/ICC, ELISA applications and has demonstrated reactivity against Human, Mouse, Rat samples.
Product Name:
Bcl-2 Polyclonal Antibody
SKU:
CAB11025
Size:
20μL, 100μL
Reactivity:
Human, Mouse, Rat
Conjugate:
Unconjugated
Immunogen:
Recombinant protein (or fragment).This information is considered to be commercially sensitive.
This gene encodes an integral outer mitochondrial membrane protein that blocks the apoptotic death of some cells such as lymphocytes. Constitutive expression of BCL2, such as in the case of translocation of BCL2 to Ig heavy chain locus, is thought to be the cause of follicular lymphoma. Alternative splicing results in multiple transcript variants.
Purification Method
Affinity purification
Gene ID
596
RRID
AB_2758373
Buffer Information
Store at -20℃. Avoid freeze / thaw cycles. Buffer: PBS containing 50% glycerol, preserved with proclin300 or sodium azide, pH 7.3.
Western blot analysis of lysates from Mouse liver, using Bcl-2 Rabbit pAb (CAB11025) at 1:1000 dilution. Secondary antibody: HRP-conjugated Goat anti-Rabbit IgG (H+L) (CABS014) at 1:10000 dilution. Lysates/proteins: 25μg per lane. Blocking buffer: 3% nonfat dry milk in TBST. Detection: ECL Basic Kit (AbGn00020). Exposure time: 30s.
Western blot analysis of lysates from Rat spleen, using Bcl-2 Rabbit pAb (CAB11025) at 1:1000 dilution. Secondary antibody: HRP-conjugated Goat anti-Rabbit IgG (H+L) (CABS014) at 1:10000 dilution. Lysates/proteins: 25μg per lane. Blocking buffer: 3% nonfat dry milk in TBST. Detection: ECL Basic Kit (AbGn00020). Exposure time: 90s.
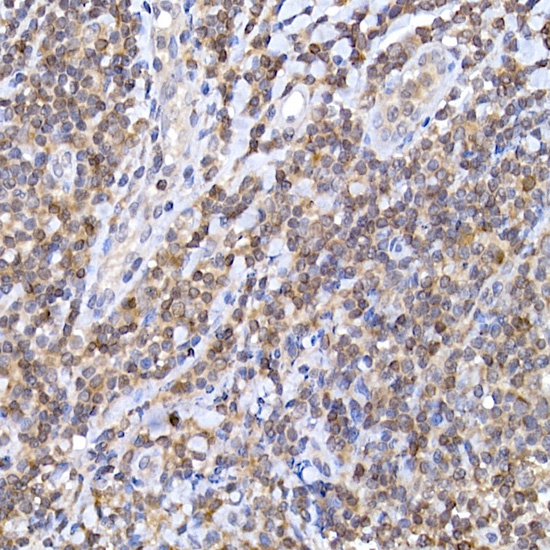
Immunohistochemistry analysis of paraffin-embedded Human tonsil tissue using Bcl-2 Rabbit pAb (CAB11025) at a dilution of 1:300 (40x lens). High pressure antigen retrieval performed with 0.01M Citrate buffer (pH 6.0) prior to IHC staining.
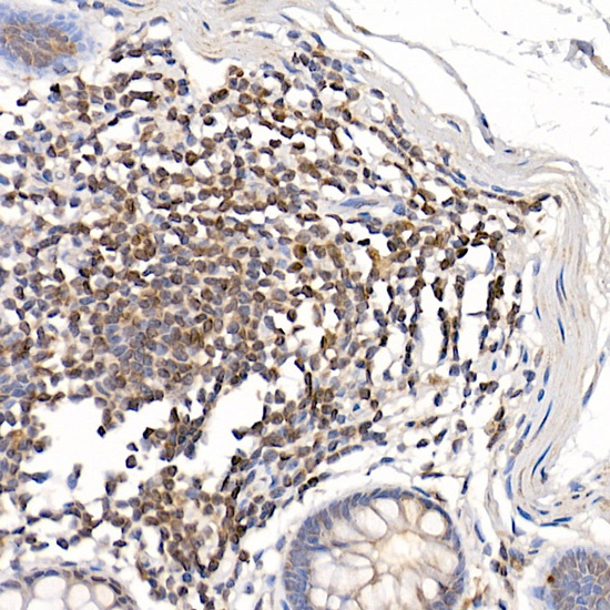
Immunohistochemistry analysis of paraffin-embedded Human colon tissue using Bcl-2 Rabbit pAb (CAB11025) at a dilution of 1:300 (40x lens). High pressure antigen retrieval performed with 0.01M Citrate buffer (pH 6.0) prior to IHC staining.