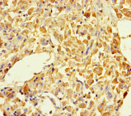
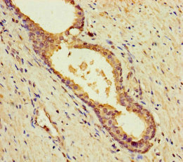
BLOC1S5 Antibody is a premium polyclonal that offers outstanding performance and reliability for demanding research applications. Rigorously validated for ELISA, IHC, this antibody ensures consistent, reproducible results across multiple experimental platforms. Demonstrates excellent reactivity with Human samples, providing researchers with confidence in cross-species compatibility. Conveniently packaged in 50ug format to meet your experimental needs. For optimal performance, store at -20°C or -80°C and maintains stability for 12 months. Backed by rigorous quality control testing to ensure superior performance in your critical research applications.
Product Name:
BLOC1S5 Antibody
SKU:
PACO38606
Size:
50μg
Isotype:
IgG
Host Species:
Rabbit
Reactivity:
Human
Immunogen:
Recombinant Human Biogenesis of lysosome-related organelles complex 1 subunit 5 protein (2-187AA)
Immunogen Species:
Homo sapiens (Human)
Uniprot No:
Q8TDH9
Form:
Liquid
Tested Applications:
ELISAIHC
Recommended Dilution:
Application
Recommended Dilution
IHC
1:20-1:200
Synonyms:
Biogenesis of lysosomal organelles complex 1, subunit 5, muted antibody, Biogenesis of lysosome related organelles complex 1 subunit 5 antibody, BLOC 1 subunit 5 antibody, BLOC1S5 antibody, BLOS5 antibody, MU antibody, MUTED antibody, Muted homolog antibody, Muted protein homolog antibody, MUTED_HUMAN antibody, Protein Muted homolog antibody