The BMP4 Monoclonal Antibody (CAB11405) is a high-quality antibody developed for reliable detection and analysis of target proteins. This antibody, generated in rabbits, exhibits high specificity and sensitivity towards BMP4 in human samples, making it an ideal choice for Western blotting and immunohistochemistry experiments.By targeting the BMP4 protein, this antibody enables precise detection and analysis of BMP4 expression in different cell types, providing valuable insights into its role in normal physiology and disease development.
This antibody is validated for use in WB, IHC-P, IF/ICC, ELISA applications and has demonstrated reactivity against Human samples.
Product Name:
BMP4 Monoclonal Antibody
SKU:
CAB11405
Size:
20μL, 100μL
Reactivity:
Human
Clone Number:
ARC0587
Conjugate:
Unconjugated
Immunogen:
Synthetic peptide. This information is considered to be commercially sensitive.
This gene encodes a secreted ligand of the TGF-beta (transforming growth factor-beta) superfamily of proteins. Ligands of this family bind various TGF-beta receptors leading to recruitment and activation of SMAD family transcription factors that regulate gene expression. The encoded preproprotein is proteolytically processed to generate each subunit of the disulfide-linked homodimer. This protein regulates heart development and adipogenesis. Mutations in this gene are associated with orofacial cleft and microphthalmia in human patients. The encoded protein may also be involved in the pathology of multiple cardiovascular diseases and human cancers.
Purification Method
Affinity purification
Gene ID
652
RRID
AB_2861559
Buffer Information
Store at -20℃. Avoid freeze / thaw cycles. Buffer: PBS containing 50% glycerol and 0.05% BSA, preserved with proclin300 or sodium azide, pH 7.3.
Western blot analysis of various lysates using BMP4 Rabbit mAb (CAB11405) at 1:1000 dilution. Secondary antibody: HRP-conjugated Goat anti-Rabbit IgG (H+L) (CABS014) at 1:10000 dilution. Lysates/proteins: 25μg per lane. Blocking buffer: 3% nonfat dry milk in TBST. Detection: ECL Basic Kit (AbGn00020). Exposure time: 10s.
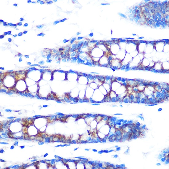
Immunohistochemistry analysis of paraffin-embedded Human colon using BMP4 Rabbit mAb (CAB11405) at dilution of 1:100 (40x lens). Microwave antigen retrieval performed with 0.01M PBS Buffer (pH 7.2) prior to IHC staining.