The BMS1 Polyclonal Antibody (CAB15367) is a versatile tool for researchers studying BMS1, a protein involved in ribosome biogenesis and mRNA processing. This antibody, produced in rabbits, exhibits high reactivity with human samples and has been validated for use in Western blot applications. By specifically binding to the BMS1 protein, this antibody enables the detection and analysis of BMS1 in a variety of cell types, making it well-suited for investigations in molecular biology and cancer research.BMS1 is essential for the assembly and maturation of ribosomes, the cellular machinery responsible for protein synthesis.
Dysregulation of BMS1 has been linked to various diseases, including cancer and neurodevelopmental disorders. By studying the function of BMS1, researchers can gain insights into the mechanisms underlying these conditions and potentially identify new therapeutic targets.Overall, the BMS1 Polyclonal Antibody offers a valuable tool for studying BMS1 and its role in cellular processes, making it a valuable resource for scientists investigating ribosome biogenesis, mRNA processing, and related fields.
Product Name:
BMS1 Rabbit Polyclonal Antibody
SKU:
CAB15367
Size:
20uL, 100uL
Isotype:
IgG
Host Species:
Rabbit
Reactivity:
Human,Mouse,Rat
Immunogen:
Recombinant fusion protein containing a sequence corresponding to amino acids 600-900 of human BMS1 (NP_055568.3).
This gene likely encodes a ribosome assembly protein. A similar protein in yeast functions in 35S-rRNA processing, which includes a series of cleavage steps critical for formation of 40S ribosomes. Related pseudogenes exist on chromosomes 2, 9, 10, 15, 16, and 22.
Purification Method:
Affinity purification
Gene ID:
9790
Storage Buffer:
Store at -20℃. Avoid freeze / thaw cycles.Buffer: PBS with 0.01% thimerosal,50% glycerol,pH7.3.
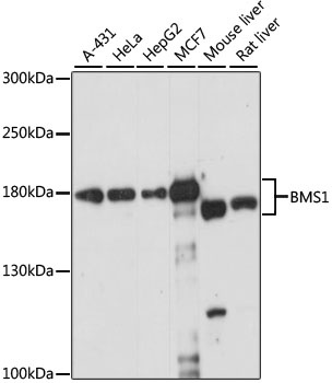
Western blot analysis of various lysates using BMS1 Rabbit pAb (CAB15367) at 1:1000 dilution.Secondary antibody: HRP Goat Anti-Rabbit IgG (H+L) (CABS014) at 1:10000 dilution.Lysates/proteins: 25μg per lane.Blocking buffer: 3% nonfat dry milk in TBST.Detection: ECL Enhanced Kit (AbGn00021).Exposure time: 15s.